PathoPic – image database / PathoPic ID 9 - Barrett Schleimhaut ohne intraepitheliale Neoplasie

de
Diagnose
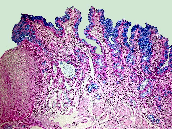
Barrett Schleimhaut ohne intraepitheliale Neoplasie
Diagnose Gruppe
Metaplasie / Heterotopie
Topographie
Oesophagogastrischer Uebergang
Topographie Gruppe
Oesophagus, Magen
Beschreibung
Zwischen erhaltenen Inseln normaler Ösophagusschleimhaut findet sich spezialisiertes metaplastisches Epithel mit alcianblauen Becherzellen.
Klinik
Endobrachyösophagus
Bilder Typ
Histologie
Alter
66
Geschlecht
männlich
Datum
Ersteintrag: 23.10.2001