Pathopic
HiPaKu
ZyPaKu
PathoBasic
PathoBasic Cytology
Quizzes
Projektinfos
PathoPic - Projekt- und Copyright-Info
About
Pathopic
HiPaKu
ZyPaKu
PathoBasic
PathoBasic Cytology
Quizzes
PathoPic – image database
/
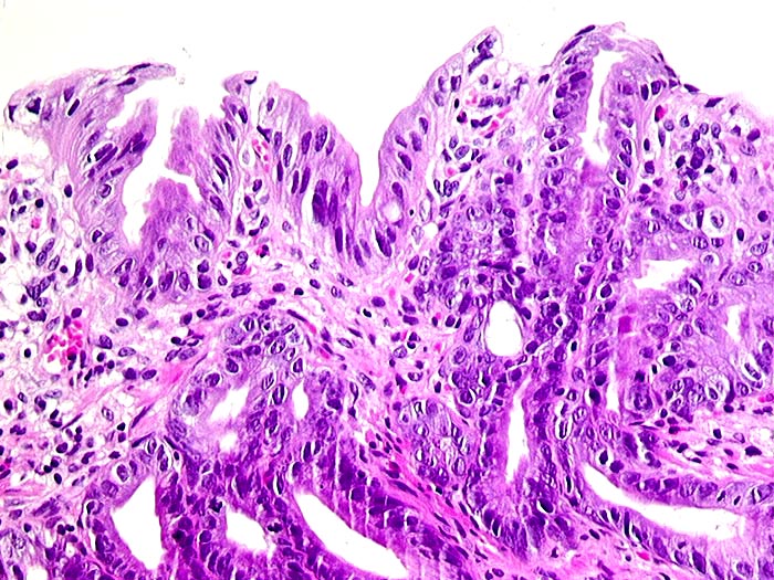
PathoPic ID 3 - Barrettmucosa: low grade intraepitheliale Neoplasie
de
Diagnose
Barrettmucosa: low grade intraepitheliale Neoplasie
Diagnose Gruppe
Präneoplasie/ Atypie/ Dignität?
Topographie
Oesophagus, distal
Topographie Gruppe
Oesophagus, Magen
Beschreibung
Barrettmucosa mit schwerer Dysplasie des Oberflächenepithels mit vergrösserten, hyperchromatischen Kernen. Crowding der Drüsenschläuche mit Verminderung des dazwischenliegenden Stromas. Geringe Entzündung.
Klinik
Barrettösophagus
Bilder Typ
Histologie
Alter
77
Geschlecht
unbekannt
Datum
Ersteintrag: 10.07.2002
CPS
·
©
2024 Institut für Pathologie Basel
/
Dr. med. Katharina Glatz-Krieger
.
·
v2.1