PathoPic – image database / PathoPic ID 4314 - normale Ösophagusschleimhaut

de
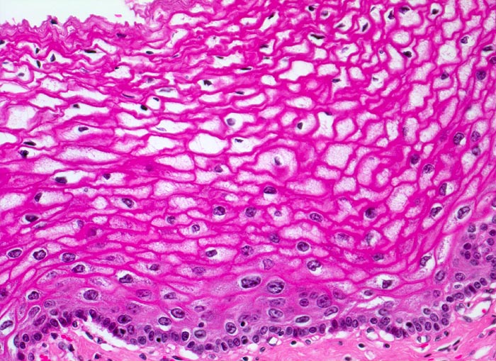
Diagnose
normale Ösophagusschleimhaut
Diagnose Gruppe
Normalbefund
Topographie
Oesophagus
Topographie Gruppe
Oesophagus, Magen
Beschreibung
Mehrschichtiges, nicht verhornendes Plattenepithel. Ausreifung der Zellen zum Lumen hin mit zunehmender Verkleinerung der Kerne und intrazytoplasmatischer Glykogeneinlagerung (helles Zytoplasma, das Glykogen ist herausgelöst). Einreihige Basalzellschicht.
Bilder Typ
Histologie
Vergrösserung
200
Alter
42
Geschlecht
unbekannt
Datum
Ersteintrag: 05.04.2002