Pathopic
HiPaKu
ZyPaKu
PathoBasic
PathoBasic Cytology
Quizzes
Projektinfos
PathoPic - Projekt- und Copyright-Info
About
Pathopic
HiPaKu
ZyPaKu
PathoBasic
PathoBasic Cytology
Quizzes
PathoPic – image database
/
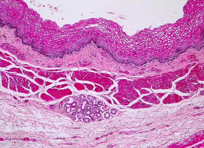
PathoPic ID 4316 - normaler Ösophagus
de
Diagnose
normaler Ösophagus
Diagnose Gruppe
Normalbefund
Topographie
Oesophagus
Topographie Gruppe
Oesophagus, Magen
Beschreibung
Auf das nicht
verhorndende Plattenepithel (Mukosa) folgt das bindegewebige
subepitheliale Stroma und die glattmuskuläre
Lamina muscularis mucosae. In der Submukosa befinden sich
seröse Schleimdrüsen.
Bilder Typ
Histologie
Vergrösserung
50
Alter
55
Geschlecht
männlich
Datum
Ersteintrag: 05.04.2002
CPS
·
©
2024 Institut für Pathologie Basel
/
Dr. med. Katharina Glatz-Krieger
.
·
v2.1