p/ Adenoidzystisches Karzinom: Lungenmetastase

Diagnose
Adenoidzystisches Karzinom: Lungenmetastase
Diagnose Gruppe
maligner Tumor
Differenzialdiagnose
Topographie Gruppe
Oesophagus, Magen
Topographie
Parotis
Einleitung
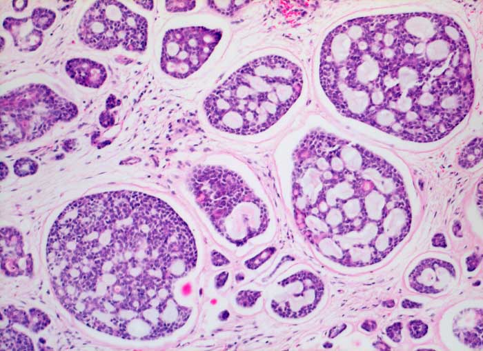
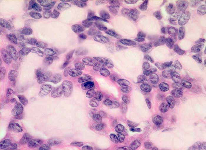
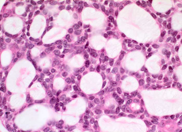
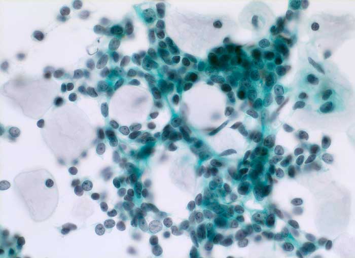
Das adenoidzystische Karzinom tritt bevorzugt in Speicheldrüsen, seltener auch in den unteren Luftwegen oder in der Mamma auf. Die Zellen des adenoidzystischen Karzinoms bilden zusammenhängende flach ausgebreitete Verbände, die teilweise kugelförmige Matrix umschliessen. Der Nachweis dieser homogenen Matrixkugeln erlaubt die Abgrenzung vom pleomorphen Adenom (fibrilläre Matrix) und vom Basalzelladenom (irregulär geformte Matrixpartikel). Die kleinen monomorphen Tumorzellen können täuschend gutartig aussehen. Die Zellkerne sind angulär und hyperchromatisch, das Chromatin ist feinkörnig und geringgradig verdichtet. Der schmale Zytoplasmasaum ist blass eosinophil.
Die Bilder stammen von einer Lungenmetastase eines primären Speicheldrüsentumors.
Klinik
-
Normalbefund
Morphologie
Makroskopie
Virtuelles Präparat
Befund
Pathologischer Befund
Normalbefund
Literatur
Datum
Ersteintrag: 02.04.2003
Update: 02.04.2003