PathoPic – image database / PathoPic ID 6368 - Adenoidzystisches Karzinom

de
Diagnose
Adenoidzystisches Karzinom
Diagnose Gruppe
maligner Tumor
Topographie
Transbronchiale FNP
Topographie Gruppe
Lunge, Mediastinum mit Thymus
Beschreibung
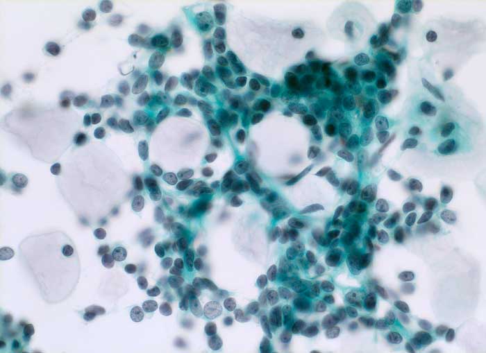
Transbronchiale Lungenbiopsie: Kribriformer Verband atypischer Zellen. Diese sind nur mässig gross und besitzen ovale oder eckige fein granulierte dunkle Kerne. Der Zytoplasmaleib ist schmal und uncharakteristisch zyanophil. Zum Teil umschliessen die lockeren Zellverbände graue globuläre homogene mucoide Massen.
Klinik
Metastasierendes adenoidzystisches Karzinom der Parotis. Lungenrundherd.
Bilder Typ
Zytologie
Vergrösserung
400
Alter
45
Geschlecht
unbekannt
Datum
Ersteintrag: 10.02.2003
Update: 28.03.2003