PathoPic – image database / PathoPic ID 6365 - Adenoidzystisches Karzinom

de
Diagnose
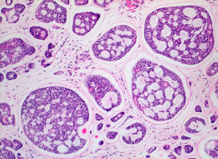
Adenoidzystisches Karzinom
Diagnose Gruppe
maligner Tumor
Topographie
Transbronchiale FNP
Topographie Gruppe
Lunge, Mediastinum mit Thymus
Beschreibung
Kribriforme scharf begrenzte Tumorzellnester.
Klinik
Metastasierendes adenoidzystisches Karzinom der Parotis. Lungenrundherd.
Bilder Typ
Histologie
Vergrösserung
100
Alter
45
Geschlecht
unbekannt
Datum
Ersteintrag: 10.02.2003
Update: 28.03.2003