PathoPic – image database / PathoPic ID 6369 - Adenoidzystisches Karzinom

de
Diagnose
Adenoidzystisches Karzinom
Diagnose Gruppe
maligner Tumor
Topographie
Transbronchiale FNP
Topographie Gruppe
Lunge, Mediastinum mit Thymus
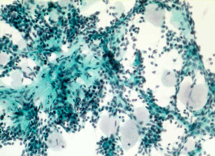
Beschreibung
Transbronchiale Lungenbiopsie: Verzweigte Verbände kleiner zytoplasmaarmer Zellen. Zum Teil umschliessen die lockeren Zellverbände graue globuläre homogene Massen.
Klinik
Metastasierendes adenoidzystisches Karzinom der Parotis. Lungenrundherd.
Bilder Typ
Zytologie
Vergrösserung
200
Alter
45
Geschlecht
unbekannt
Datum
Ersteintrag: 10.02.2003
Update: 28.03.2003