PathoPic – image database / PathoPic ID 6370 - Adenoidzystisches Karzinom

de
Diagnose
Adenoidzystisches Karzinom
Diagnose Gruppe
maligner Tumor
Topographie
Transbronchiale FNP
Topographie Gruppe
Lunge, Mediastinum mit Thymus
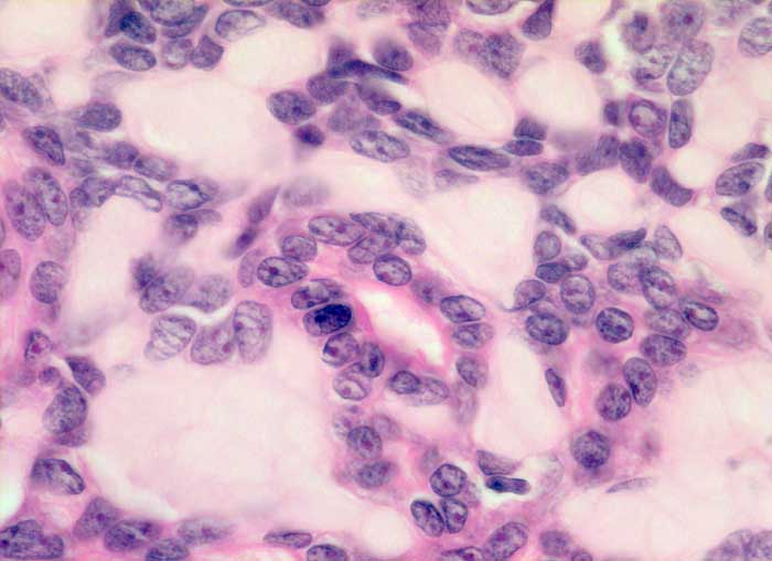
Beschreibung
Kribriformer Tumor aus kleinen dichtstehenden zytoplasmaarmen Tumorzellen mit hyperchromatischen eckigen oder rundlichen Kernen mit einem kleinen eosinophilen Nukleolus. Die zystischen Hohlräume enthalten eine eosinophile homogene Masse.
Klinik
Metastasierendes adenoidzystisches Karzinom der Parotis. Lungenrundherd.
Bilder Typ
Histologie
Vergrösserung
630
Alter
45
Geschlecht
unbekannt
Datum
Ersteintrag: 10.02.2003
Update: 28.03.2003