p/ Fibroadenom der Mamma

Diagnose
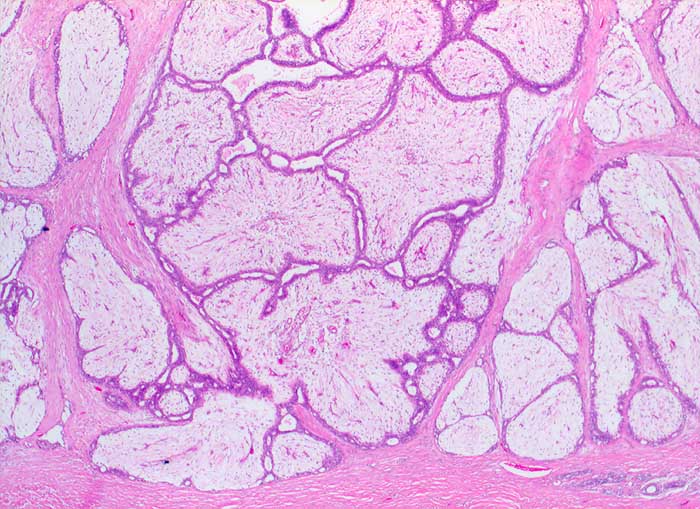
Fibroadenom der Mamma
Diagnose Gruppe
benigner Tumor
Differenzialdiagnose
Topographie Gruppe
Mamma
Topographie
Mamma
Einleitung
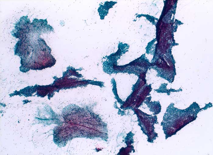
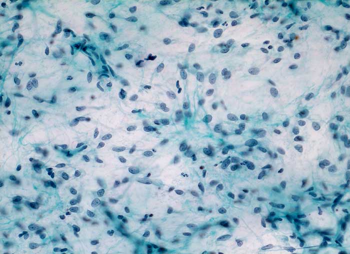
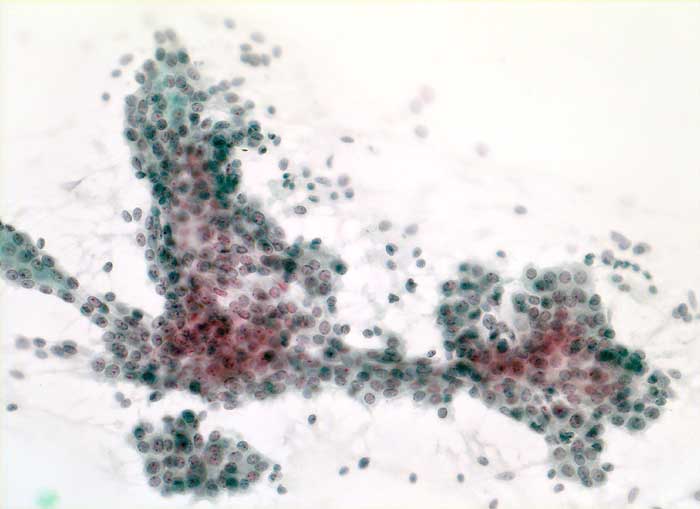
Grosse Mengen epithelialer Zellen, bipolarer Nacktkerne (Myofibroblasten und Fibrozyten) und scharf begrenzte Stromafragmente charakterisieren das Fibroadenom zytologisch. Aspirate von stark fibrosierten Fibroadenomen können auch zellarm sein. Einseitig von Epithel bedeckte Bindegewebsfragmente sprechen für ein Fibroadenom. Durch die Aspiration wird die epitheliale Innenauskleidung mit ihren Verzweigungen aus dem Gangsystem gelöst. Die Epithelverbände sind beim intrakanalikulären Fibroadenom flach und erscheinen beim perikanalikulären Fibroadenom T-, Y-, finger- oder hirschgeweihförmig. Die Kerne sind wenig grösser als die Kerne normaler duktaler Epithelien und messen meist weniger als zwei Erythrozytendurchmesser. Da es sich bei Fibroadenomen um proliferierende Läsionen handelt können die Epithelzellen Zeichen der Aktivierung zeigen in Form einer mässig ausgeprägten Pleomorphie, prominenten Nukleolen, und gelegentlichen Mitosen.
Das erste Beispiel zeigt ein intrakanalikuläres, das zweite Beispiel ein perikanalikuläres Fibroadenom mit stark verzweigten Zellverbänden. Das dritte Beispiel zeigt die Zytomorphologie eines Fibroadenoms mit stark aktivierten Zellen.
Klinik
-
Normalbefund
Morphologie
Makroskopie
Virtuelles Präparat
Befund
Pathologischer Befund
Normalbefund
Literatur
Datum
Ersteintrag: 13.04.2003
Update: 13.04.2003