PathoPic – image database / PathoPic ID 5709 - Fibroadenom

de
Diagnose
Fibroadenom
Diagnose Gruppe
benigner Tumor
Topographie
Mamma
Topographie Gruppe
Mamma
Beschreibung
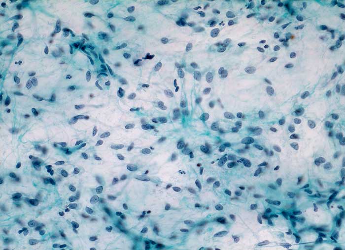
Feinnadelpunktion Mamma: Im Ausstrichhintergrund zahlreiche bipolare nackte Kerne und myxoides Stroma, das dicht von spindeligen Kernen durchsetzt ist.
Zusatzbefund
Histologische Diagnose: Fibroadenom mit ausgeprägtem Stromaödem
Klinik
Mammaknoten
Kommentar
Zytologische Diagnose: Fibroadenom / phylloider Tumor
Bilder Typ
Zytologie
Vergrösserung
200
Alter
37
Geschlecht
unbekannt
Datum
Ersteintrag: 26.11.2002
Update: 17.02.2003