PathoPic – image database / PathoPic ID 5713 - Fibroadenom

de
Diagnose
Fibroadenom
Diagnose Gruppe
benigner Tumor
Topographie
Mamma
Topographie Gruppe
Mamma
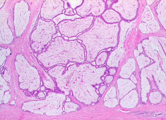
Beschreibung
Biphasischer scharf begrenzter lobulierter Tumor bestehend aus verzweigten epithelial ausgekleideten Gangstrukturen, die von einem zellarmen ödematösen Stroma komprimiert werden.
Zusatzbefund
Histologische Diagnose: Fibroadenom mit ausgeprägtem Stromaödem
Klinik
Mammaknoten
Kommentar
Zytologische Diagnose: Fibroadenom / phylloider Tumor
Bilder Typ
Histologie
Vergrösserung
25
Alter
37
Geschlecht
unbekannt
Datum
Ersteintrag: 26.11.2002
Update: 17.02.2003