PathoPic – image database / PathoPic ID 5711 - Fibroadenom

de
Diagnose
Fibroadenom
Diagnose Gruppe
benigner Tumor
Topographie
Mamma
Topographie Gruppe
Mamma
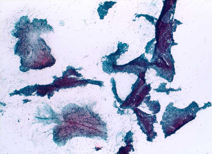
Beschreibung
Feinnadelpunktion Mamma: Zahlreiche grosse, teils stark verzweigte und breite Verbände von regelrechten duktalen Epithelien. Im Ausstrichhintergrund zahlreiche bipolare nackte Kerne und immer wieder myxoides Stroma.
Zusatzbefund
Histologische Diagnose: Fibroadenom mit ausgeprägtem Stromaödem
Klinik
Mammaknoten
Kommentar
Zytologische Diagnose: Fibroadenom / phylloider Tumor
Bilder Typ
Zytologie
Vergrösserung
630
Alter
37
Geschlecht
unbekannt
Datum
Ersteintrag: 26.11.2002
Update: 17.02.2003