Pathopic
HiPaKu
ZyPaKu
PathoBasic
PathoBasic Cytology
Quizzes
Projektinfos
PathoPic - Projekt- und Copyright-Info
About
Pathopic
HiPaKu
ZyPaKu
PathoBasic
PathoBasic Cytology
Quizzes
PathoPic – image database
/
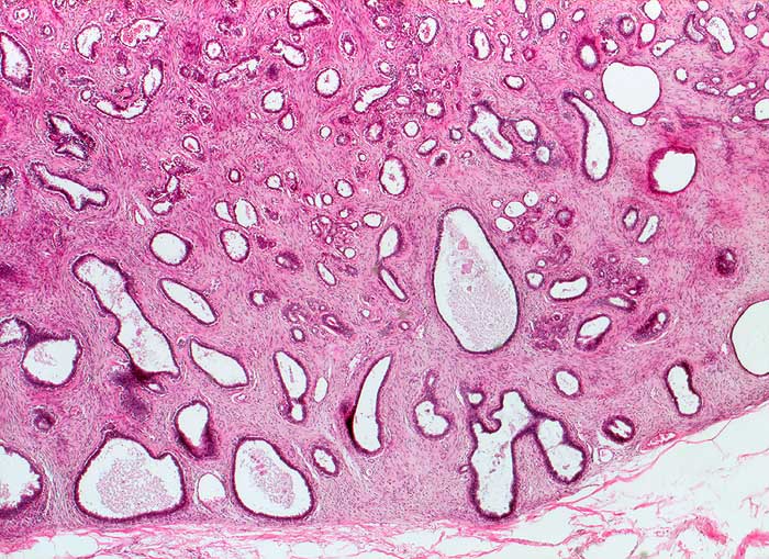
PathoPic ID 5698 - Fibroadenom
de
Diagnose
Fibroadenom
Diagnose Gruppe
benigner Tumor
Topographie
Mamma
Topographie Gruppe
Mamma
Beschreibung
Biphasischer Tumor bestehend aus reichlich zellreichem Stroma und rundlichen unterschiedlich weiten, nicht komprimierten Drüsen (perikanalikuläres Fibroadenom).
Klinik
Herdbefund DD: Fibroadenom, Mastopathie
Bilder Typ
Histologie
Vergrösserung
25
Alter
35
Geschlecht
unbekannt
Datum
Ersteintrag: 25.11.2002
Update: 28.03.2005
CPS
·
©
2024 Institut für Pathologie Basel
/
Dr. med. Katharina Glatz-Krieger
.
·
v2.1