Basel 2BA/ Herpes Infektion der Haut

Diagnose
Herpes Infektion der Haut
Diagnose Gruppe
Entzündung infektiös
Differenzialdiagnose
Topographie Gruppe
Haut
Topographie
Haut, Genital
Einleitung
Aetiologie:
Zu Hautmanifestationen führen die Herpes simplex Viren und das Varizella zoster Virus. Herpes simplex Virus Typ 1 verursacht in 80% der Fälle orale Läsionen und in 20% genitale Läsionen. Das Umgekehrte gilt für Herpes simplex Virus Typ 2. Herpes simplex Viren können eine Reihe von Erkrankungen verursachen: Gingivostomatitis (> 548), Keratokonjunktivitis, Ösophagitis (> 4471) (> 1478), Enzephalitis, genitale Läsionen und eine Infektion des Neugeborenen.
HSV-1 wird übertragen durch direkten Kontakt mit infiziertem Speichel oder durch direkten Kontakt mit kontaminierten Gegenständen. HSV-2 wird beim Geschlechtsverkehr übertragen. Eine transplazentare Transmission kann vor allem bei primärer Infektion, selten bei Herpes zoster Reaktivierung mit Virämie vorkommen und kann zu Aborten, intrauterinem Fruchttod, Fehlbildungen oder schwerer perinataler Infektion führen.

Morphologie:
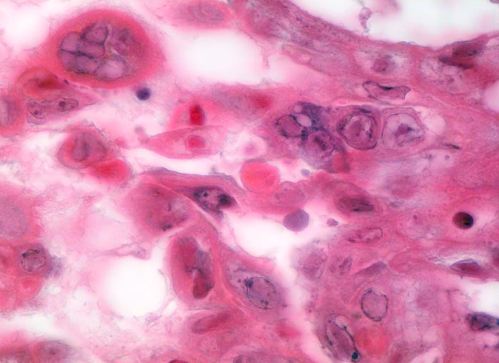
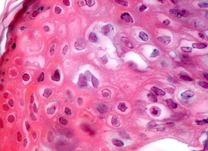
Histologisch zeigen sich am Rand der intra- und subepidermalen Blasen die zytopathisch veränderten Plattenepithelzellen mit homogenen intranukleären Einschlüssen umgeben von einem Halo (Cowdry A) oder milchglasartigem Kern (Cowdry B). Typisch sind multinukleäre Riesenzellen. Solche Zellen sind im zytologischen Abstrich nachweisbar (Tzanck-Test).

Anmerkung:
Konventionell-histologische und zytologische Befunde ermöglichen keine Unterscheidung zwischen Herpes simplex und Herpes zoster, eine solche Unterscheidung ist aber mit Immunhistochemie möglich.
Klinik
Vorkommen:
Etwa 70-90% der Erwachsenen haben Antikörper gegen HSV-1, 22% gegen HSV-2 und 95% gegen das Varizella zoster Virus.

Symptomatik:
Die Primärinfektion mit Herpes simplex Viren verläuft in der Regel mild und oftmals asymptomatisch. Vor allem Immunsupprimierte können eine schwere Allgemeininfektion mit Beteiligung multipler Organsysteme entwickeln. HSV-1 bleibt latent im Trigeminusganglion, HSV-2 in den Sakralganglien. Durch Fieber, physikalischen oder emotionalen Stress oder UV-Exposition können die Viren reaktiviert werden. Herpes zoster entwickelt sich meist im Bereich eines thorakalen Dermatoms. In der Prodromalphase einer Reaktivierung brennt, spannt und juckt die Haut. Nach einigen Stunden bilden sich infektiöse gruppierte Bläschen, die mit einer klaren Flüssigkeit gefüllt sind. Diese öffnen sich, es kommt zu schmerzhaften Ulzerationen, die langsam abheilen. Die Beschwerden dauern meist nicht länger als 10 Tage.

Therapie:
Die Antivirale Therapie mildert die Symptome, führt aber nicht zur Heilung der Infektion, da das Virus nicht aus dem Körper eliminiert werden kann. Die Behandlung von oral-labialen Läsionen mit Virostatika ist nicht routinemässig indiziert. Bei immunsupprimierten Patienten mit häufigen Rezidiven kann Acyclovir (Zovirax) in der Prodromalphase eingenommen werden. Bei Patienten mit mehr als 6 Rezidiven pro Jahr ist die Indikation einer medikamentösen Prophylaxe zu prüfen. Acyclovir ist ausserdem indiziert bei genitalem Herpes oder Enzephalitis. Ziel der antiviralen Therapie bei Herpes zoster Infekt ist eine Verkürzung des klinischen Verlaufes und eine Verminderung der Inzidenz der postherpetischen Neuralgie.

Verlauf:
Genitale HSV-2 Infektionen haben eine hohe Rezidivrate. Mehr als 85% der Patienten mit einer symptomatischen Episode werden auch weitere Rezidive erleiden. 38% der Patienten mit genitalem Herpes haben mehr als 6 Rezidive pro Jahr, 20% haben mehr als 10 Rezidive pro Jahr. Schmerzen nach einer Herpes zoster Infektion, die länger als einen Monat anhalten, werden als postherpetische Neuralgie bezeichnet. Davon betroffen sind vor allem alte Patienten (50% der über 80 jährigen).

Anmerkung:
Die Patienten müssen informiert werden, dass die genitale Herpesinfektion eine sexuell übertragbare Erkrankung darstellt.
Patienten mit Herpes zoster können bei allen, die noch keine Varizellen durchgemacht haben, eine Varizelleninfektion auslösen.
Normalbefund
Morphologie
Morphologische Merkmale:
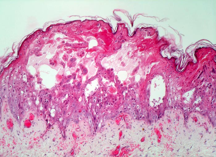
  • Rechtes Hautfragment ulzeriert. Linkes Hautfragment: Intraepidermales Bläschen gefüllt mit serösem Exsudat, neutrophilen Granulozyten und ballonierten akantholytischen Keratinozyten.
  • Zytopathische Veränderungen der Keratinozyten im Randbereich des Bläschens bzw. des Hautulkus: Keratinozyten mit stahlgrauen milchglasartigen Kernen mit kondensiertem Chromatin in der Kernperipherie. Syncytiale mehrkernige Riesenzellen, deren Kerne sich gegenseitig eindellen (nuclear molding).
  • Dichtes gemischtes dermales Entzündungsinfiltrat.
Das sollte der Kliniker dem Pathologen mitteilen:
  • Bei entzündlichen Hauterkrankungen sind generell folgende Angaben wichtig:
    • Symptomatik.
    • Immunsuppression.
    • Assoziierte Grunderkrankung Bsp. rheumatoide Arthritis
    • Morphologie der Effloreszenzen.
    • Lokalisation, Anzahl, Symmetrie und Anordnung der Effloreszenzen.
    • Zeitpunkt des Erkrankungsbeginns und Verlauf.
    • Medikamenteneinnahme.
    • Bisherige Therapie.
Praxis-Tipp:
  • Von Bläschenflüssigkeit ein Ausstrichpräparat herstellen (Tzanck-Test). Die typischen zytopathischen Effekte der Herpesinfektion lassen sich zytologisch nachweisen und erübrigen eine Biopsie.
Makroskopie
Befund
Pathologischer Befund
Normalbefund
Datum
Ersteintrag: 14.03.2019
Update: 14.03.2019