PathoPic – image database / PathoPic ID 3570 - Herpes Infektion der Haut: mehrkernige Riesenzellen

de
Diagnose
Herpes Infektion der Haut: mehrkernige Riesenzellen
Diagnose Gruppe
Entzündung infektiös
Topographie
Haut, Genital
Topographie Gruppe
Haut
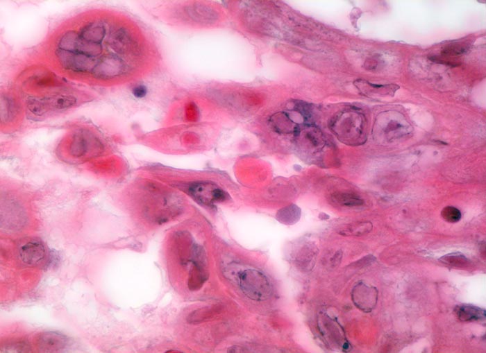
Beschreibung
Intranukleäre Einschlusskörper (3-8 µm) mit hellem Hof in Epidermiszellen=Cowdry A Einschlüsse. Syncytiale Riesenzelle mit multiplen Milchglaskernen=Cowdry B Einschlusskörper. Interzelluläres Ödem mit Akantholyse der Epidermis.
Klinik
Rezidivierender Ausschlag im Bereich der Vulva. Zunächst beginnend mit einer Hautrötung, Brennen und Juckreiz, später Gruppen von wasserklaren Bläschen. Diese gehen über in schmerzhafte Ulzera. Die Ulzera verkrusten und heilen innert einer Woche ab. Die Patientin ist HIV positiv.
Kommentar
Die multinukleären Zellsyncytien mit intranukleären Kerneinschlüssen können im Abstrich der Bläschenflüssigkeit nachgewiesen werden (Tzank Test).
Bilder Typ
Histologie
Vergrösserung
630
Alter
33
Geschlecht
unbekannt
Datum
Ersteintrag: 26.09.2002
Update: 21.08.2003