PathoPic – image database / PathoPic ID 4749 - normale Felderhaut

de
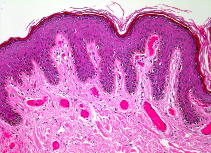
Diagnose
normale Felderhaut
Diagnose Gruppe
Normalbefund
Topographie
Haut
Topographie Gruppe
Haut
Beschreibung
Lockeres Stratum papillare der Dermis mit oberflächlichem Gefässplexus dicht am Papillarkörper. Das Stratum papillare der Dermis bildet Stromapapillen zwischen epithelialen Reteleisten. Stratum reticulare mit groben kollagenen Fasern. Leicht braun pigmentierte Basalzellschicht mit eingestreuten zytoplasmareichen Melanozyten. Schmales Stratum granulosum und zellfreie Hornschicht des Stratum corneum. Langerhanszelle im Stratum spinosum.
Bilder Typ
Histologie
Vergrösserung
125
Alter
44
Geschlecht
unbekannt
Datum
Ersteintrag: 02.07.2002