PathoPic – image database / PathoPic ID 3569 - Herpes Infektion der Haut: Cowdry A Kerneinschlüsse

de
Diagnose
Herpes Infektion der Haut: Cowdry A Kerneinschlüsse
Diagnose Gruppe
Entzündung infektiös
Topographie
Haut, Genital
Topographie Gruppe
Haut
Beschreibung
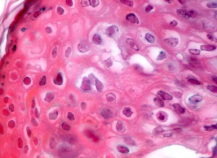
Zytopathischer Effekt: Hydropische Schwellung der Epidermiszellen. Zahlreiche intranukleäre dunkel-eosinophile, runde bis ovaläre Einschlusskörper (3-8 µm) mit hellem Hof in Epidermiszellen=Cowdry A Einschlüsse. Die Einschlüsse enthalten Virionen. Durch die Einschlüsse wird das Chromatin der Epidermiszellen an den Rand gedrängt.
Klinik
Rezidivierender Ausschlag im Bereich der Vulva. Zunächst beginnend mit einer Hautrötung, Brennen und Juckreiz, später Gruppen von wasserklaren Bläschen. Diese gehen über in schmerzhafte Ulzera. Die Ulzera verkrusten und heilen innert einer Woche ab. Die Patientin ist HIV positiv.
Kommentar
Alle Herpes simplex Viren bilden grosse dunkelrote intranukleäre Einschlüsse, welche intakte und zerstörte Virionen enthalten. Diese Einschlüsse drängen das Chromatin der befallenen Zelle an den Rand des Kerns.
Bilder Typ
Histologie
Vergrösserung
630
Alter
33
Geschlecht
unbekannt
Datum
Ersteintrag: 17.12.2001