PathoPic – image database / PathoPic ID 3567 - Herpes Infektion der Haut

de
Diagnose
Herpes Infektion der Haut
Diagnose Gruppe
Entzündung infektiös
Topographie
Haut, Genital
Topographie Gruppe
Haut
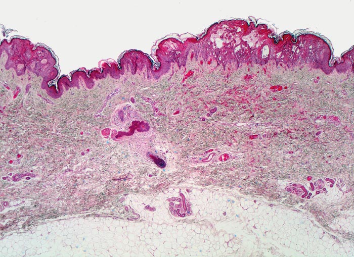
Beschreibung
Grössere und kleinere, z.T. gekammerte, z.T. konfluierende intraepidermale Bläschen, mit serösem Exsudat gefüllt (= Form der exsudativen serösen Entzündung).
Klinik
Rezidivierender Ausschlag im Bereich der Vulva. Zunächst beginnend mit einer Hautrötung, Brennen und Juckreiz, später Gruppen von wasserklaren Bläschen. Diese gehen über in schmerzhafte Ulzera. Die Ulzera verkrusten und heilen innert einer Woche ab. Die Patientin ist HIV positiv.
Bilder Typ
Histologie
Vergrösserung
25
Alter
33
Geschlecht
unbekannt
Datum
Ersteintrag: 17.12.2001