Basel 2BA/ Bronchopneumonie

Diagnose
Bronchopneumonie
Diagnose Gruppe
Entzündung infektiös
Differenzialdiagnose
Topographie Gruppe
Lunge, Mediastinum mit Thymus
Topographie
Lunge
Einleitung
Aetiologie:
Entzündungen des Lugenparenchyms können mikrobielle, physikalisch-chemische oder allergisch-toxische Ursachen haben. Bakterien verursachen die meisten Pneumonien bei Erwachsenen über 30 Jahre. Im Gegensatz zur Bronchitis sind nicht nur die tiefen Atemwege, sondern auch das Lungenparenchym betroffen. Streptococcus pneumoniae steht an erster Stelle bei den ausserhalb des Spitals erworbenen Pneumonien. Andere häufige Erreger sind Staphylococcus aureus, Haemophilus influenzae, Chlamydia pneumoniae, C. psittaci, C. trachomatis, Moraxella (Branhamella) catarrhalis, Legionella pneumophila, Klebsiella pneumoniae und andere gram negative Bakterien. Mycoplasma pneumoniae verursacht eine atypische Pneumonie bei jugendlichen und jungen Erwachsenen. Häufige pulmonale Pathogene bei Säuglingen und Kindern sind das respiratory syncytial Virus, Parainfluenzavirus und Influenza A und B Virus. Influenza A (> 2816), gelegentlich Influenza B und selten das Varicella-Zoster Virus können bei gesunden Erwachsenen eine Pneumonie verursachen. Eine Pneumonie wird meist über Tröpfcheninfektion erworben. Seltener ist eine hämatogene oder lymphogene Ausbreitung oder ein Übergreifen von benachbarten Infektionsherden. 
 
Morphologie:
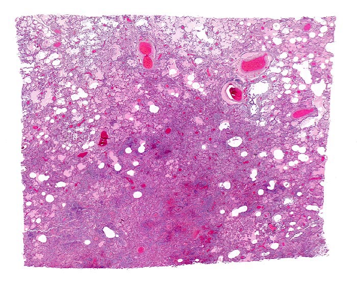
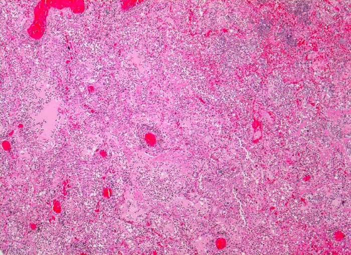
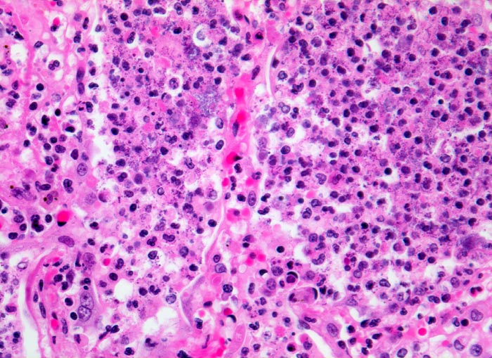
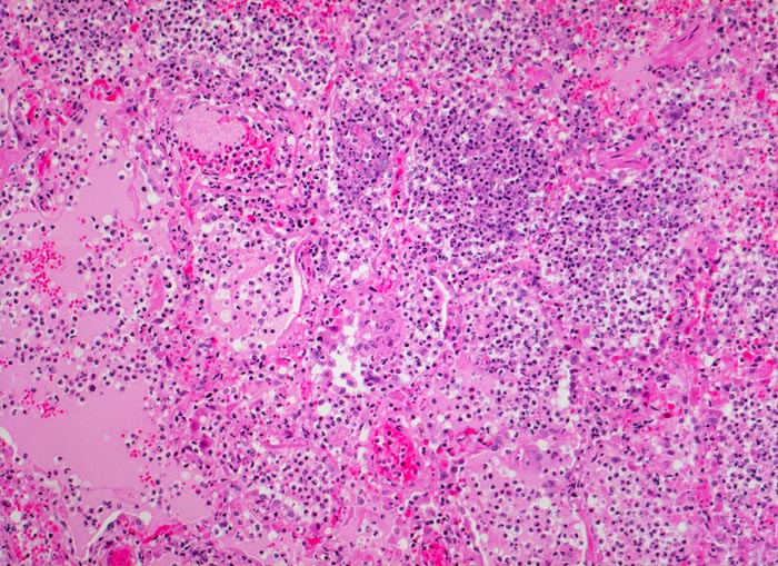
Eine Pneumonie kann einen ganzen Lappen befallen (Lobärpneumonie), Alveolen in der Umgebung eines Bronchus (Bronchopneumonie) oder das Interstitium (interstitielle Pneumonie) mit entsprechend unterschiedlichen makroskopischen Befunden. Bei einer schweren Bronchopneumonie sind meist mehrere Lappen befallen und es lassen sich bereits makroskopisch gelbliche, leicht erhabene, brüchige, unscharf begrenzte, gelegentlich zentral abszedierte Herde von einigen Millimetern bis wenigen Zentimetern Durchmesser nachweisen. Der Abstrichsaft ist trübe. Die befallenen Lappen sind vergrössert und aufgrund des entzündlichen Ödems schwerer. In einigen Fällen lässt sich eine fibrinöse Pleuritis (> 316) oder selten ein Pleuraempyem (> 775) nachweisen. Bei einer eitrigen Herdpneumonie ist die Mukosa der Bronchien und Bronchiolen ganz oder teilweise zerstört und mit einem fibrinös-eitrigen Exsudat belegt. Im Lungenparenchym selbst sind unterschiedlich grosse Infiltratherde bevorzugt um die Luftwege erkennbar. Benachbarte Alveolen sind gefüllt mit Granulozyten, Erythrozyten, Fibrin und eventuell Bakterien. Die Herde können konfluieren oder zentral einschmelzen (abszedierende Pneumonie) (> 195)

update 31. August 2020 
Klinik
Vorkommen:
Die ambulant erworbene Pneumonie ist eine der häufigsten Infektionskrankheiten weltweit und einer der häufigsten Gründe für eine Hospitalisation. In der Schweiz erkranken 65’000-82'000 Patienten pro Jahr. Hinzu kommen noch zirka 4000 Patienten mit im Spital erworbener nosokomialer Pneumonie. Pneumonien stellen die 6. häufigste Todesursache dar. 
 
Risikofaktoren:
Prädisponierend wirken virale Infekte des oberen Respirationstraktes, Alkoholismus, Rauchen, Herzinsuffizienz, chronisch obstruktive Lungenerkrankung, Alter (Kleinkinder, hohes Alter), Diabetes mellitus, chronische Niereninsuffizienz, Bewusstseinsstörung (Aspirationspneumonie (> 2227)) oder Dysphagie. 
 
Symptomatik:
Die Patienten haben Atemwegssymptome wie Husten mit oder ohne Auswurf, Dyspnoe, atemabhängige Thoraxschmerzen bei Begleitpleuritis sowie Allgemeinsymptome wie Fieber oder Hypothermie, Schüttelfrost bei bakterieller Pneumonie, Abgeschlagenheit, Myalgien, Arthralgien, Desorientierung und Kopfschmerzen. Zyanose, Tachypnoe und Nasenflügeln deuten auf eine schwere Pneumonie mit Hypoxämie. 

 
Diagnostik und Therapie:
Die beschriebenen Symptome sind nicht spezifisch für die Pneumonie. Einzig ein völlig unauffälliger Auskultationsbefund mit fehlenden pneumonischen Rasselgeräuschen machte die Diagnose einer Pneumonie eher unwahrscheinlich. Bei älteren Patienten verlaufen Pneumonien unabhängig vom Schweregrad oft oligosymptomatisch. Deshalb wird zur Diagnosesicherung immer der Nachweis eines neu aufgetretenen Infiltrates in einem bildgebenden Verfahren (Röntgen Thorax oder CT Thorax) gefordert.
Auch bei initial stabilen Patienten mit Bronchopneumonie sollte eine leitliniengerechte antimikrobielle Behandlung immer sofort empirisch begonnen werden noch bevor die Ergebnisse von mikrobiologischen Untersuchungen vorliegen. Ein verzögerter Behandlungsbeginn geht mit einer erhöhten Mortalität einher.
Bei schweren Pneumonien sollte eine mikrobiologische Erregerbestimmung angestrebt werden. Bei bis zu 50% der Patienten lässt sich jedoch trotz klinischer Diagnose einer bakteriellen Pneumonie kein Erreger isolieren. Die Indikation zur Hospitalisation und die Wahl der antibiotischen Therapie hängen ab vom Alter, von vorbestehenden Grundleiden und vom Schweregrad der Erkrankung. Rund Dreiviertel der Patienten können ambulant behandelt werden. Bei Patienten mit nosokomialer Pneumonie und bei schwergradig Immunsupprimierten ist eine pneumologische Konsultation oft sinnvoll.

update 31. August 2020 

Morphologie
Morphologische Merkmale: 
  • Herdförmig unterschiedlich stark ausgeprägte Entzündung. 
  • Alveolen gefüllt mit hell-eosinophiler Ödemflüssigkeit oder neutrophilen Granulozyten, Erythrozyten und wenig Fibrin. 
  • Haufen von blauen kokkoiden Bakterien in einigen Alveolen. 
  • Gefässhyperämie der Alveolarwandkapillaren. 
  • Im Zentrum des Pneumonieherdes ist wenig aspiriertes Fremdmaterial umgeben von Bakterien in den Alveolen erkennbar. Das sollte der Kliniker dem Pathologen mitteilen: 
  • Erregernachweis. 
Makroskopie
Befund
Pathologischer Befund
Normalbefund
Datum
Ersteintrag: 10.07.2019
Update: 31.08.2020