Pathopic
HiPaKu
ZyPaKu
PathoBasic
PathoBasic Cytology
Quizzes
Projektinfos
PathoPic - Projekt- und Copyright-Info
About
Pathopic
HiPaKu
ZyPaKu
PathoBasic
PathoBasic Cytology
Quizzes
PathoPic – image database
/
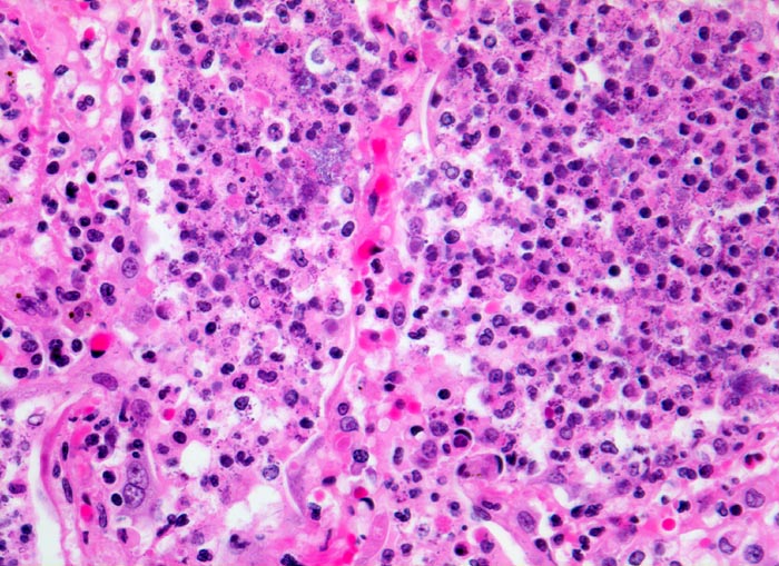
PathoPic ID 4652 - Bronchopneumonie: pneumonisches Infiltrat
de
Diagnose
Bronchopneumonie: pneumonisches Infiltrat
Diagnose Gruppe
Entzündung infektiös
Topographie
Lunge
Topographie Gruppe
Lunge, Mediastinum mit Thymus
Beschreibung
Ausschnitt aus dem pneumonischen Infiltrat: die Alveolen sind gefüllt mit neutrophilen Granulozyten und feinkörnigen blauen
Bakterienhaufen.
Klinik
Plötzlich einsetzende Symptomatik: hohes Fieber, Schüttelfrost, Husten mit Auswurf, allgemeines Krankheitsgefühl, Atemnot, Zyanose, Schmerzen beim Atmen, Nasenflügelflattern und Leukozytose.
Bilder Typ
Histologie
Vergrösserung
320
Alter
83
Geschlecht
unbekannt
Datum
Ersteintrag: 06.05.2002
CPS
·
©
2024 Institut für Pathologie Basel
/
Dr. med. Katharina Glatz-Krieger
.
·
v2.1