Pathopic
HiPaKu
ZyPaKu
PathoBasic
PathoBasic Cytology
Quizzes
Projektinfos
PathoPic - Projekt- und Copyright-Info
About
Pathopic
HiPaKu
ZyPaKu
PathoBasic
PathoBasic Cytology
Quizzes
PathoPic – image database
/
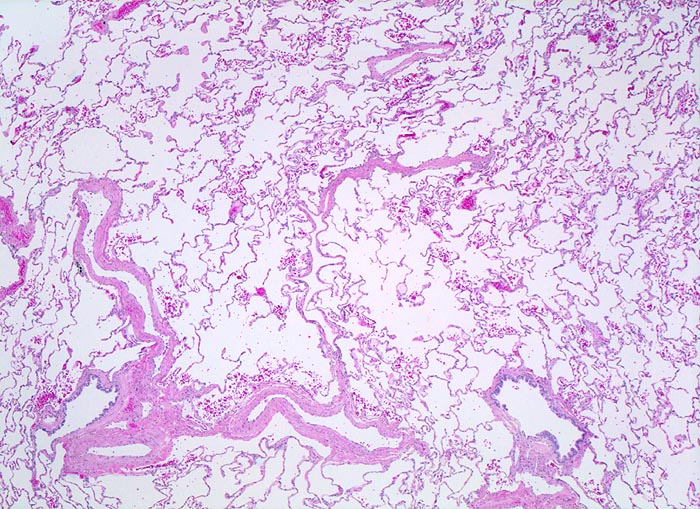
PathoPic ID 4367 - normales Lungenparenchym
de
Diagnose
normales Lungenparenchym
Diagnose Gruppe
Normalbefund
Topographie
Lunge
Topographie Gruppe
Lunge, Mediastinum mit Thymus
Beschreibung
Die
Lungenarterienäste verlaufen zusammen mit den
respiratorischen Bronchiolen. Die
Lungenvenenäste verlaufen dagegen unabhängig von den Luftwegen im Parenchym. Die Alveolarsepten sind zart. In den Alveolen findet sich entnahmebedingt etwas Blut.
Bilder Typ
Histologie
Vergrösserung
25
Alter
24
Geschlecht
männlich
Datum
Ersteintrag: 05.04.2002
CPS
·
©
2024 Institut für Pathologie Basel
/
Dr. med. Katharina Glatz-Krieger
.
·
v2.1