PathoPic – image database / PathoPic ID 4651 - Bronchopneumonie: pneumonisches Infiltrat

de
Diagnose
Bronchopneumonie: pneumonisches Infiltrat
Diagnose Gruppe
Entzündung infektiös
Topographie
Lunge
Topographie Gruppe
Lunge, Mediastinum mit Thymus
Beschreibung
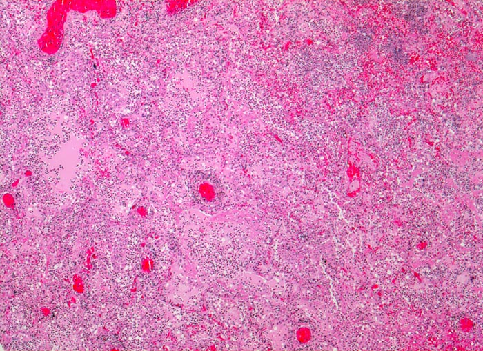
Ausschnitt aus dem pneumonischen Infiltrat: die Alveolen sind gefüllt mit neutrophilen Granulozyten und rosafarbener Ödemflüssigkeit. Hyperämie der Gefässe.
Klinik
Plötzlich einsetzende Symptomatik: hohes Fieber, Schüttelfrost, Husten mit Auswurf, allgemeines Krankheitsgefühl, Atemnot, Zyanose, Schmerzen beim Atmen, Nasenflügelflattern und Leukozytose.
Kommentar
Ödem und Gefässhyperämie sind Zeichen der akuten Entzündung und nicht Ausdruck einer akuten Lungenstauung.
Bilder Typ
Histologie
Vergrösserung
25
Alter
83
Geschlecht
unbekannt
Datum
Ersteintrag: 06.05.2002