PathoPic – image database / PathoPic ID 4649 - Bronchopneumonie

de
Diagnose
Bronchopneumonie
Diagnose Gruppe
Entzündung infektiös
Topographie
Lunge
Topographie Gruppe
Lunge, Mediastinum mit Thymus
Beschreibung
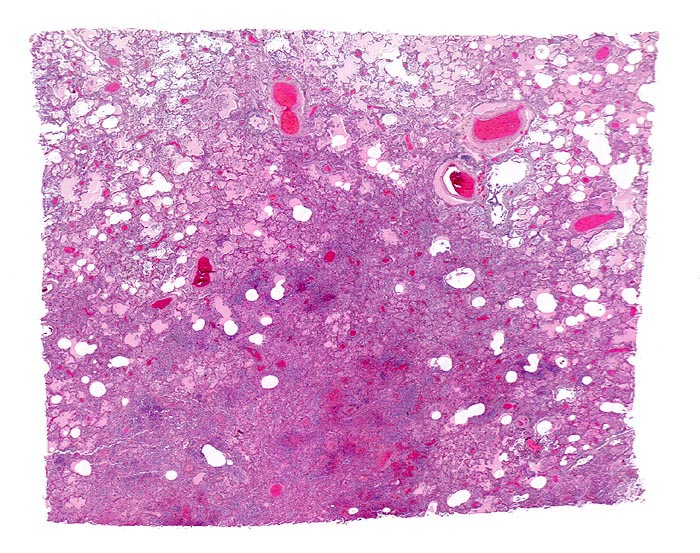
Die Alveolen sind gefüllt mit rosafarbener Ödemflüssigkeit. Der unscharf begrenzte bläuliche Herd entspricht einem pneumonischen Infiltrat (Herdpneumonie) mit intraalveolärer Ansammlung neutrophiler Granulozyten.
Klinik
Plötzlich einsetzende Symptomatik: hohes Fieber, Schüttelfrost, Husten mit Auswurf, allgemeines Krankheitsgefühl, Atemnot, Zyanose, Schmerzen beim Atmen, Nasenflügelflattern und Leukozytose.
Kommentar
Nach dem Verteilungsmuster der entzündlichen Infiltrate werden alveoläre und interstitielle Pneumonien unterschieden. Die alveolären Pneumonien werden unterteilt in die Lobärpneumonie und die Herdpneumonie. Ätiologische Pneumonie-Klassifikationen sind nur bedingt auf pathologisch-anatomische Befunde zu übertragen, da nur wenige Erreger charakteristische morphologische Veränderungen bewirken. Eine Lobärpneumonie tritt auf, wenn die Erreger die Alveolarräume so ausgedehnt und rasch befallen, daß sie erst vor anatomischen Grenzen (z.B. einem Lappenspalt) Halt machen.
Bilder Typ
Histologie
Vergrösserung
400
Alter
83
Geschlecht
unbekannt
Datum
Ersteintrag: 06.10.2002