AP/ Malignes Melanom vom superfiziell spreitenden Typ

Diagnose
Malignes Melanom vom superfiziell spreitenden Typ
Diagnose Gruppe
maligner Tumor
Differenzialdiagnose
Topographie Gruppe
Haut
Topographie
Haut, untere Extremität
Einleitung
Aetiologie:
Hauptrisikofaktor für die Melanomentwicklung stellt die UV-Bestrahlung dar. Ungefähr 10% der Fälle haben einen familiären Hintergrund. Zwei Genodermatosen, das Xeroderma pigmentosum und das familiäre dysplastische Nävussyndrom sind mit einem stark erhöhten Risiko der Melanomentwicklung verbunden.

Lokalisation:
Über 90% der Melanome entwickeln sich in der Haut. Darüber hinaus gibt es auch Melanome der Schleimhaut und in Organen, die entwicklungsgeschichtlich mit dem Neuroektoderm in Verbindung stehen. Dazu gehören die Uvea des Auges, das Innenohr, das Zerebrum und die Leptomeningen. Histologische Subtypen:
Klinisch und histologisch lassen sich vier Haupttypen unterscheiden: das superfiziell spreitende Melanom (> 6647), das noduläre Melanom (> 6599), das Lentigo maligna Melanom hervorgegangen aus einer Lentigo maligna (=Melanoma in situ in chronisch sonnengeschädigter Haut (> 7757)) und das akral lokalisierte akrolentiginöse Melanom (> 6733). Molekulare Klassifikation des Melanoms:
Auf molekularer Ebene lassen sich maligne Melanome grob in 5 Gruppen mit ähnlichen genetischen Veränderungen einteilen:
  • Melanome in intermittierend UV exponierter Haut (Sonnenbrände in der Anamnese): BRAF Mutation (ca. 50%), seltener NRAS Mutation. Starke Inzidenzzunahme. Histologisch oft superfiziell spreitendes Melanom. Gezielte Therapie von BRAF mutierten metastasierenden Tumoren mit BRAF Inhibitoren möglich.
  • Melanome in chronisch UV exponierter Haut: Kit Mutation. BRAF Mutation selten. Mässige Inzidenzzunhame. Histologisch oft Melanoma in situ (Lentigo maligna) über schwerer solarer Elastose. Sehr langsam wachsend.
  • Akrales Melanom: Früh im Tumorverlauf genomische Instabilität mit Genamplifikationen. Histologisch oft akrolentiginöses Melanom.
  • Mukosamelanom: Früh im Tumorverlauf genomische Instabilität mit Genamplifikationen. Histologisch oft lentiginöses Wachstumsmuster mit Einzelzellen entlang der basalen Epidermis.
  • Uveamelanom und Melanom ex blauer Naevus: Mutationen in GNAQ, GNA11. Die molekularen Veränderungen hängen zusammen mit der Ätiopathogenese und der Lokalisation der Tumoren. Der Nachweis bestimmter molekularer Veränderungen ist relevant für den Einsatz gezielter Therapien bei fortgeschrittenen Melanomen (zB Einsatz eines BRAF Inhibitors nur bei Nachweis einer BRAF Mutation).
Morphologie:
Makroskopisch verdächtig sind asymmetrische, unregelmässig begrenzte, unregelmässig pigmentierte, erhabene Hauttumoren mit einem Durchmesser von über 6mm, welche sich anamnestisch verändert haben (ABCDE Regel).
Es gibt zahlreiche histologische Kriterien, die für das Vorliegen eines Melanoms sprechen: asymmetrischer Aufbau, unscharfe seitliche Begrenzung (> 6725), pagetoide Ausbreitung atypischer Melanozyten in der Epidermis (Melanozyten durchsetzen die gesamte Breite der Epidermis (> 3960)), unterschiedlich grosse melanozytäre Nester (> 6632), Melanozyten durchsetzen Adnexstrukturen, unregelmässige Melaninverteilung (> 3961) (> 6720), flächenhafte Melanozytenverbände im Korium (> 6720), Polymorphie und Atypie (> 1080), Mitosen (> 3479), fehlende Abnahme der Zell- und Kerngrösse zur Basis des Tumors (= fehlende Ausreifung) (> 3959) u.s.w.
Im einzelnen Tumor sind nie alle möglichen Malignitätskriterien nachweisbar und keines der Kriterien ist für sich allein genommen pathognomonisch für ein Melanom. Naevuszellnaevi, die einzelne Malignitätsmerkmale zeigen, werden als Melanomsimulatoren bezeichnet (zB Spitz Naevus, dysplastischer Naevus, Naevi in speziellen Lokalisationen). Umgekehrt können maligne Melanome benigne Naevuszellnaevi imitieren (zB naevoides Melanom). Bei etwa 2% aller melanozytären Tumoren lässt sich die Dignität aufgrund überlappender morphologischer Kriterien deshalb nicht mit letzter Sicherheit bestimmen. Der Nachweis typischer genetischer Aberrationen mittels Fluoreszenz in situ Hybridisierung (FISH Untersuchung) kann in solchen Fällen gelegentlich die Melanomdiagnostik unterstützen. Melanome werden im Gegensatz zu den meisten anderen Tumoren nicht gradiert. Entsprechend entfällt die G Kategorie in der TNM Klassifikation.

update 9. September 2013
Klinik
Vorkommen:
In der Schweiz erkranken jährlich ca. 1200 Personen am malignen Melanom der Haut. Etwa 20% versterben am Tumorleiden. Die Schweizer Melanominzidenz von 14/100'000 pro Jahr gehört zu den höchsten Europas. Das mittlere Alter bei Diagnose des malignen Melanoms beträgt 53 Jahre. Bei Frauen zwischen 25-29 Jahren ist das Melanom der häufigste maligne Tumor.

Symptomatik:
Farbveränderungen, Grössen- oder Dickenzunahme und unregelmässige Begrenzung eines pigmentierten Hauttumors führen die Patienten zum Arzt. Seltener sind Blutungen, Juckreiz, Ulzeration oder Schmerzen ausgehend von einem pigmentierten Tumor.

Therapie:
Die Therapie ist primär chirurgisch. Melanomverdächtige Läsionen sollten primär vollständig exzidiert werden (Exzisionsbiopsie und anschliessende Nachresektion in Abhängigkeit von der histologisch bestimmten Tumordicke). Die empfohlenen Sicherheitsabstände betragen beim Melanoma in situ 5mm, beim Melanom bis 1mm Dicke 1cm, beim Melanom von 1-4mm Dicke 2cm und ab 4mm Dicke 2-3cm. Wenn histologisch eine perineurale Infiltration nachgewiesen wird, sollte der Sicherheitsabstand auf 3-5cm erhöht werden. Bei Melanomen ab einer Dicke von 1mm wird eine Exzision des Sentinel Lymphknotens durchgeführt. Durch intradermale Injektion einer radioaktiven Markersubstanz im Tumorbereich kann der Sentinellymphknoten präoperativ identifiziert werden. Bei Tumorbefall des Sentinel Lymphknotens wird eine regionäre Lymphknotendissektion angeschlossen. Für fortgeschrittene Tumoren existieren verschiedene adjuvante und palliative Therapieprotokolle, welche auch molekulare und immunologische Eigenheiten des Tumors berücksichtigen.
Im Rahmen der Tumornachsorge werden Patienten mit Melanomen nachkontrolliert, um frühzeitig ein Rezidiv zu identifizieren oder weitere maligne Hauttumoren rechtzeitig zu entdecken. Das Zweitmelanomrisiko beträgt bei Melanompatienten etwa 5-8%. Zudem ist die Häufigkeit von anderen Hauttumoren erhöht.

Prognose:
Entscheidend für die Prognose sind Tumordicke nach Breslow (Dickenmessung am histologischen Schnitt vom Stratum granulosum bis zur tiefsten Infiltration in der Dermis), Ulzeration, mitotische Aktivität, und Lymphknotenbefall. Die 5 Jahres Überlebensrate bei weniger als 1mm dicken Melanomen beträgt bis zu 95%. Das Überleben sinkt auf 67% bei mehr als 4mm dicken Tumoren ohne Ulzeration und 45% mit Ulzeration. Das Überleben von Patienten mit Fernmetastasen hat sich Dank Einsatz gezielter Therapien leicht verbessert. Je nach Lokalisation der Metastasen leben nach 5 Jahren noch 7-19% der Patienten.

update 9. September 2013
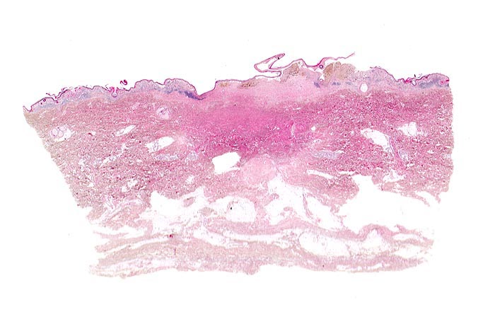
Morphologie
Morphologische Merkmale:
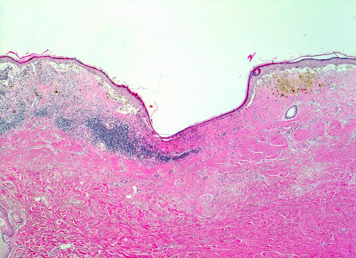
  • Stark asymmetrischer, unregelmässig pigmentierter dermoepidermaler melanozytärer Tumor.
  • Wechselnd Akanthose und Atrophie (Consumption) der Epidermis mit langstreckiger Ulzeration des Epithels im Bereich der grössten Tumordicke.
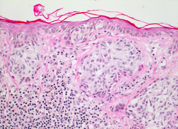
  • Die epidermale Melanomkomponente besteht aus in der Epidermis aufsteigenden atypischen Melanozyten (=pagetoide Ausbreitung) und unterschiedlich grossen Zellnestern durchmischt mit Melanophagen.
  • Epidermale Komponente breiter als dermale Komponente (SSM)
  • Verschieden grosse, teils konfluierende (Sheets) Tumorzellnester in der Dermis.
  • Fehlende Ausreifung zur Tiefe hin (keine Abnahme der Zellgrösse, der Grösse der Zellnester oder der Pigmentierung zur Tiefe).
  • Tumorinfiltration der retikulären Dermis (Clark Level IV)
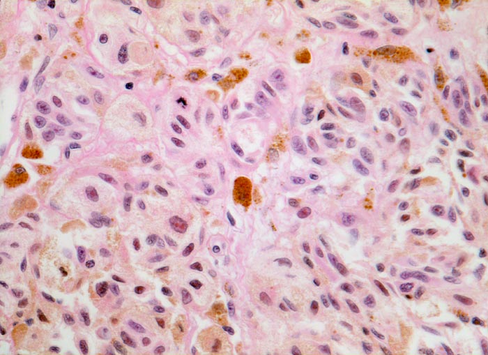
  • Wichtige Malignitätskriterien bei melanozytären Tumoren: Kombination von schweren zytologischen Atypien und zahlreichen Mitosen in dermalen Tumorzellen.
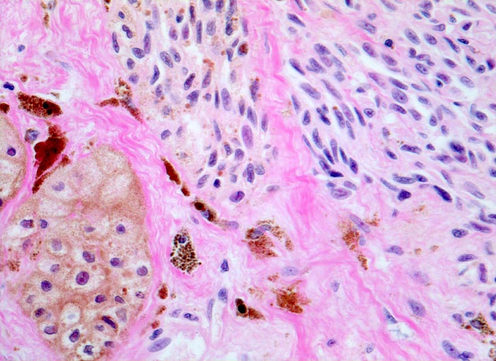
  • Epitheloide rund-ovale Tumorzellen mit reichlich Zytoplasma mit unterschiedlich starker Pigmentierung der unterschiedlichen Tumorzellklone. Grosse hyperchromatische Zellkerne mit einem oder mehreren prominenten eosinophilen Nukleolen.
  • Fokale Ansammlungen von stark pigmentierten Melanophagen in der dermalen Tumorkomponente.
  • Unregelmässig verteiltes dermales tumorinfiltrierendes lymphoplasmazelluläres Entzündungsinfiltrat.
  • Links auf dem Präparat sind unterhalb des Melanoms dermale Reste eines vorbestehenden gewöhnlichen Naevuszellnaevus erkennbar. Naevuszellen deutlich kleiner und zytoplasmaärmer mit kaum erkennbaren Nukleolen.
  • Solare Elastose (chronische UV-Schädigung).
Das sollte der Kliniker dem Pathologen mitteilen:
  • Klinischer Melanomverdacht (ABDCE Regel, EFG Regel).
  • Genaue Tumorlokalisation.
  • Vorbestehende, neu entstandene oder sich verändernde Läsion.
  • Metastase oder Primärtumor.
  • Positive Eigenanamnese oder Familienanamnese bezüglich Melanom.
Praxis-Tipp:
  • Bei melanomverdächtigen Läsionen wird primär die vollständige Exzisionsbiopsie empfohlen. Die Inzisionsbiopsie bleibt grossen Läsionen an kritischen Lokalisationen (Gesicht, akral) vorbehalten.
  • Seitenmarkierung am besten mit Skizze für die genaue Orientierung der Resektionsränder.


update 21. April 2017
Makroskopie
Befund
Pathologischer Befund
Normalbefund
Datum
Ersteintrag: 14.03.2019
Update: 14.03.2019