PathoPic – image database / PathoPic ID 7757 - Desmoplastisches Melanom (Lentigo maligna Melanom)

de
Diagnose
Desmoplastisches Melanom (Lentigo maligna Melanom)
Diagnose Gruppe
maligner Tumor
Topographie
Haut, Kopf
Topographie Gruppe
Haut
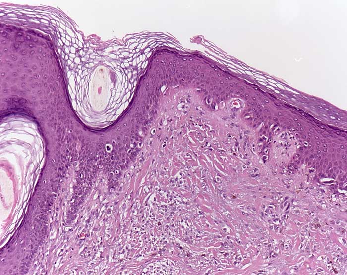
Beschreibung
Lentiginöse Hyperplasie atypischer Melanozyten entlang der Junktionszone entsprechend einer Lentigo maligna. Die angrenzende Dermis ist narbenartig fibrosiert und ist auffallend zellreich (desmoplastisches Melanom). Die dermalen Zellen weisen lediglich geringe Atypien auf.
Klinik
Lentigo maligna
Bilder Typ
Histologie
Vergrösserung
100
Alter
77
Geschlecht
männlich
Datum
Ersteintrag: 05.01.2004
Update: 13.01.2004