Pathopic
HiPaKu
ZyPaKu
PathoBasic
PathoBasic Cytology
Quizzes
Projektinfos
PathoPic - Projekt- und Copyright-Info
About
Pathopic
HiPaKu
ZyPaKu
PathoBasic
PathoBasic Cytology
Quizzes
PathoPic – image database
/
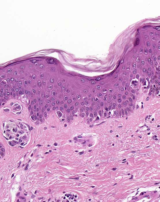
PathoPic ID 6725 - naevoides Melanom: unscharfe laterale Begrenzung
de
Diagnose
naevoides Melanom: unscharfe laterale Begrenzung
Diagnose Gruppe
maligner Tumor
Topographie
Haut, Rumpf
Topographie Gruppe
Haut
Beschreibung
Die laterale Begrenzung des Melanoms ist unscharf. Die laterale Begrenzung wird gebildet durch
atypische Einzelzellen und
kleine Nester in unregelmässigen Abständen.
Bilder Typ
Histologie
Vergrösserung
200
Alter
52
Geschlecht
männlich
Datum
Ersteintrag: 10.11.2003
Update: 10.12.2003
CPS
·
©
2024 Institut für Pathologie Basel
/
Dr. med. Katharina Glatz-Krieger
.
·
v2.1