AP/ Benignes kutanes fibröses Histiozytom

Diagnose
Benignes kutanes fibröses Histiozytom
Diagnose Gruppe
benigner Tumor
Differenzialdiagnose
  • - Noduläre Fasciitis- Neurofibrom- Dermatofibrosarcoma protuberans
Topographie Gruppe
Haut
Topographie
Haut, obere Extremität
Einleitung
Histogenese:
Das kutane fibröse Histiozytom (Synonym: Dermatofibrom) ist ein häufiger gutartiger dermaler mesenchymaler Tumor, der zur Gruppe der fibrohistiozytären Tumoren gerechnet wird. Das kutane fibröse Histiozytom ist ein fibroblastisch/myofibroblastisch differenzierter Tumor, der eine unterschiedlich grosse Anzahl von Faktor XIIIa-positiven Stromazellen enthält.

Mikroskopische Befunde:
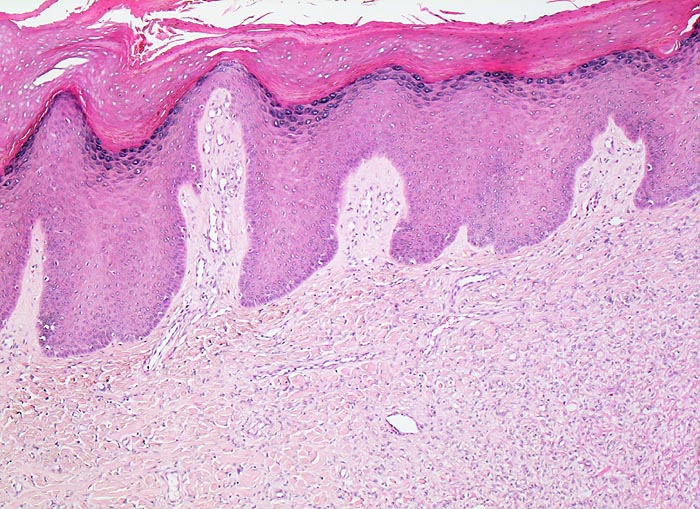
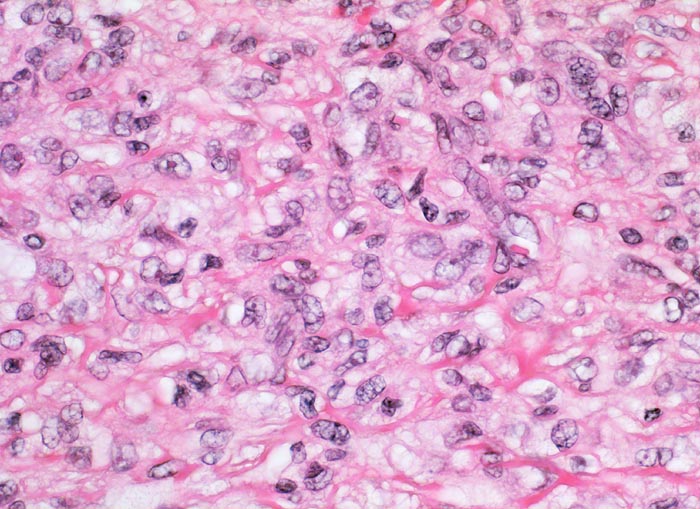
Die Epidermis über dem dermal lokalisierten Tumor zeigt eine Hyperplasie (> 7793) oftmals mit basaler Hyperpigmentierung PathoPic 7803. Histologisch besteht das Histiozytom aus einem Spektrum von Zelltypen mit Merkmalen von dermal dendritischen Zellen, (Myo)fibroblasten und Histiozyten. Zusätzlich können Entzündungszellen, fettspeichernde Tumorzellen mit schaumigem Zytoplasma, eisenpigment (Hämosiderin) speichernde Tumorzellen (> 7718) oder mehrkernige Riesenzellen vorhanden sein. Charakteristisch ist eine wirblige/sternförmige Anordnung von Spindelzellen und Kollagenfasern (=storiformes Wachstumsmuster). Kollagengehalt (> 219) und Zellgehalt (> 3967) sind von Tumor zu Tumor sehr unterschiedlich. Frühe Läsionen sind zell- und gefässreich, spätere zeigen eine vermehrte Fibrosierung und als Folge von Einblutungen Ansammlungen von lipid- und pigmentspeichernden Tumorzellen. Histiozytome können sehr zellreich (> 3968) oder sehr zellarm sein. Sehr charakteristisch ist die unscharfe Begrenzung des Tumors zum dermalen Bindegewebe mit Einschluss kompakter Kollagenfasern innerhalb des Tumors und Ausbreitung von einzelnen Tumorzellen zwischen die tumorangrenzenden Kollagenfasern.

Histologische Varianten:
Es existieren sehr zahlreiche klinische und histologische Varianten. Die grosse Variabilität der Histopathologischen Befunde kann zu erheblichen Abgrenzungschwierigkeiten gegenüber verschiedensten benignen und malignen Tumoren führen.

update 2. September 2015
Klinik


Vorkommen:
Meist treten Histiozytome bei jüngeren Erwachsenen auf. In einem Drittel der Fälle treten multiple Tumoren nacheinander auf. Bei immunsupprimierten Patienten können multiple Läsionen auch gleichzeitig vorkommen. Als mögliche Auslöser der Tumorbildung werden anamnestisch gelegentlich lokale Traumata wie Insektenstiche oder eine Follikulitis angegeben.

Symptome und Diagnose:
Histiozytome können überall vorkommen. Am häufigsten sind sie aber in der Haut im Bereich der Extremitäten oder am Rumpf lokalisiert und bilden dort hautfarbene, bräunliche, rötliche oder blauschwarze (Hämosiderinablagerungen), eingesenkte, erhabene oder gestielte Knoten gewöhnlich von maximal 1cm Grösse. Meist sind Histiozytome asymptomatisch, können gelegentlich aber schmerzen oder Juckreiz verursachen. Typisches diagnostisches Zeichen: wenn man von beiden Seiten ein Histiozytom zusammendrückt, wird es in die Tiefe verdrängt und zieht gleichzeitig die Epidermis nach unten (Eindellung).

Therapie und Prognose:
Eine Therapie ist bei asymptomatischen Histiozytomen nicht unbedingt notwendig. Spontane Rückbildungen kommen vor. Auch nach inkompletter Exzision rezidivieren <2% der Histiozytome. Einige seltene Subtypen des fibrösen Histiozytoms (Dermatofibrome des Gesichts, atypische, zellreiche und noch seltenere aneurysmatische Variante) zeigen eine erhöhte Lokalrezidivrate (20-30%) und sollten deshalb mit einem Sicherheitsabstand im Gesunden entfernt werden.

update 2. September 2015
Morphologie
  • Epidermishyperplasie (Akanthose) und Hyperpigmentierung der basalen Keratinozyten über dem Tumor.
  • Unscharf begrenzter dermaler Tumor ohne direkten Kontakt zur Epidermis.
  • Im Tumor eingeschlossene kompakte Kollagenfasern und am Rand des Tumors Ausbreitung von Tumorzellen zwischen den dermalen Kollagenfasern.
  • Erythrozytenextravasate und blutgefüllte Hohlräume.
  • Tumor bestehend aus spindeligen (myo)fibroblastären Zellen mit länglichen Kernen in unregelmässiger Anordnung (Zellen mit unterschiedlicher Ausrichtung zueinander), mit storiformer (sternförmig/wirbelförmig) oder faszikulärer (parallel ausgerichtete Zellbündel) Architektur.
  • Unterschiedliche Zelltypen: fettspeichernde Zellen mit schaumigem Zytoplasma, hämosiderinspeichernde Zellen mit gelbbraunen Pigmentablagerungen im Zytoplasma, mehrkernige Riesenzellen vom Touton Typ, Lymphozyten, spindelzellige (Myo-)fibroblasten und dermal dendritische Zellen (Myofibroblasten und dermal dendritische Zellen sind im Lichtmikroskop nicht unterscheidbar).
  • An der Tumorbasis (zweitunterstes Fragment) Übergang des Histiozytoms in eine Narbe: parallel zur Epidermis ausgerichtetes zellarmes kollagenes Bindegewebe mit Kapillaren.
Praxis-Tipp:
  • Die charakteristischen Veränderungen der Epidermis helfen bei der manchmal schwierigen Abgrenzung des fibrösen Histiozytoms von anderen dermalen Hauttumoren. Deshalb sollte nach Möglichkeit die Epidermis mitexzidiert werden.
update 2. September 2015
Makroskopie
Befund
Pathologischer Befund
Normalbefund
Datum
Ersteintrag: 10.07.2019
Update: 10.07.2019