PathoPic – image database / PathoPic ID 3967 - Zellreiches fibröses Histiozytom

de
Diagnose
Zellreiches fibröses Histiozytom
Diagnose Gruppe
benigner Tumor
Topographie
Haut, Hand palmar, Finger
Topographie Gruppe
Haut
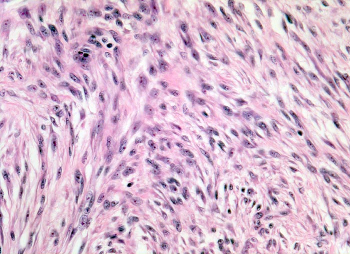
Beschreibung
Spindelige Tumorzellen bilden ein geflechtartiges Muster. Die Morphologie erinnert an einen leiomyomatösen Tumor.
Zusatzbefund
Ploidie: Diploid, DNS-Index 1,9. S-Phasen-Fraktion: 19,4%, hoch. Das Messergebnis spricht für eine hohe proliferative Aktivität entsprechend einem zellreichen fibrösen Histiozytom.
Klinik
Tumorrezidiv interdigital.
Bilder Typ
Histologie
Vergrösserung
320
Alter
43
Geschlecht
männlich
Datum
Ersteintrag: 13.01.2002