PathoPic – image database / PathoPic ID 4257 - Benignes fibröses Histiozytom

de
Diagnose
Benignes fibröses Histiozytom
Diagnose Gruppe
benigner Tumor
Topographie
Haut, obere Extremität
Topographie Gruppe
Haut
Beschreibung
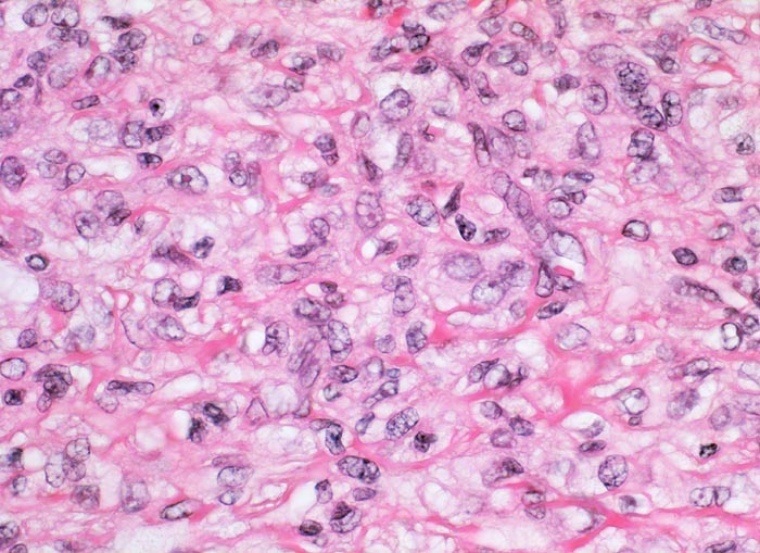
Fibroblastäre Zellen umgeben von einem kollagenfasrigen Stroma. Das reichlich vorhandene Zytoplasma ist vakuolisiert. Die Zellkerne sind rundlich bis länglich mit feinem Chromatin und enthalten einen kleinen eosinophilen Nukleolus.
Zusatzbefund
Auf Schnitt durch das Hautexzisat ist ein gelber unscharf begrenzter intradermaler Knoten erkennbar.
Klinik
Derber indolenter rotbrauner Knoten am Arm, Durchmesser des Knotens 5mm.
Bilder Typ
Histologie
Vergrösserung
400
Alter
48
Geschlecht
unbekannt
Datum
Ersteintrag: 07.04.2002