AP/ Urothelkarzinom bei Phenacetinabusus

Diagnose
Urothelkarzinom bei Phenacetinabusus
Diagnose Gruppe
Therapiefolgen
Topographie Gruppe
Niere, Harnwege
Topographie
Harnblase
Einleitung
Aetiologie und Pathogenese:
Die kombinierte Einnahme von Paracetamol bzw. Phenacetin und Aspirin bewirkt eine toxische Schädiung von Kapillarendothelien und Epithelzellen der Henle-Schleife. Die Hauptläsion liegt im Nierenmark und in den proximalen ableitenden Harnwegen, da hier die Substanzkonzentration am höchsten ist. Phenacetin, Paracetamol bzw. Aspirin alleine eingenommen führen dagegen nicht zu einer Analgetikanephropathie.

Morphologie:
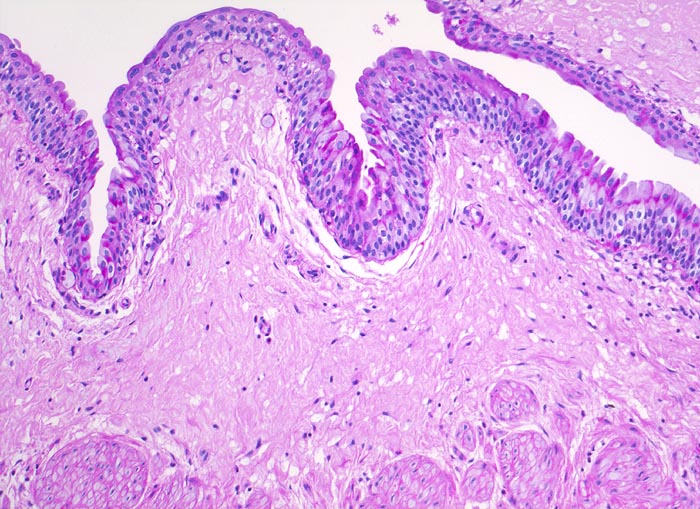
Pathomorphologisch unterscheiden sich Urothelkarzinome bei Phenacetinabusus nicht von sporadischen Urothelkarzinomen abgesehen von ihrer bevorzugten Lokalisation im Nierenbecken und der allenfalls ausserhalb des Tumors in der Harnwegsschleimhaut nachweisbaren Kapillarosklerose.
Klinik
Vorkommen:
Der Abusus Phenacetin, bzw. Paracetamol- haltiger Mischanalgetika führt zu einer Vermehrung von Harnwegstumoren um einen Faktor 10. Die Häufung ist noch markanter für Nierenbeckentumoren und beträgt für diese Lokalisation das 50 fache verglichen mit Nicht-Abusern. Normalerweise machen Karzinome des Nierenbeckens etwa vier bis neun Prozent aller Nierenkarzinome aus. In Gegenden mit gehäuftem Auftreten von Analgetikanephropathie steigt diese Zahl auf bis zu 30 Prozent. Harnblasentumoren sind sechsmal häufiger. Analgetikaabusus ist definiert als nicht bestimmungsgerechte tägliche Einnahme von Phenacetin- bzw. Paracetamol- haltigen Mischanalgetika länger als ein Jahr. Das Risiko für die Entwicklung (terminaler) Nierenschäden steigt ab einer kumulativen Dosis von 0.5 bis 1 kg Paracetamol in Mischanalgetika.
Seit Verbot der auslösenden Mischanalgetika in der Schweiz hat sich die Zahl der Patienten mit terminaler Niereninsuffizienz wegen Analgetikanephropathie deutlich verringert und das Durchschnittsalter der betroffenen Patienten ist angestiegen.

Symptomatik:
Extrarenale Folgeerscheinungen sind Voralterung, Hyperpigmentierung von Haut, Leber (> 1564) und Rippenknorpel (> 346), Verlust der Lunulae, psychische Störungen, Magenulzera und Atherosklerose. Renale Folgeerscheinungen sind Hyperpigmentierung der Schleimhäute (> 1576), Kapillarosklerose (> 1566) (> 1573), Analgetika Nephropathie (> 1574), sekundäre Pyelonephritis und die oben erwähnte Häufung von Harnwegstumoren.
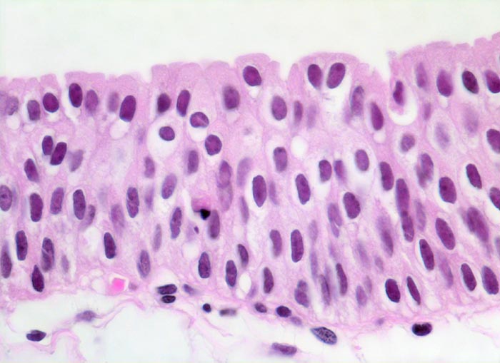
Normalbefund
Morphologie
Morphologische Merkmale:
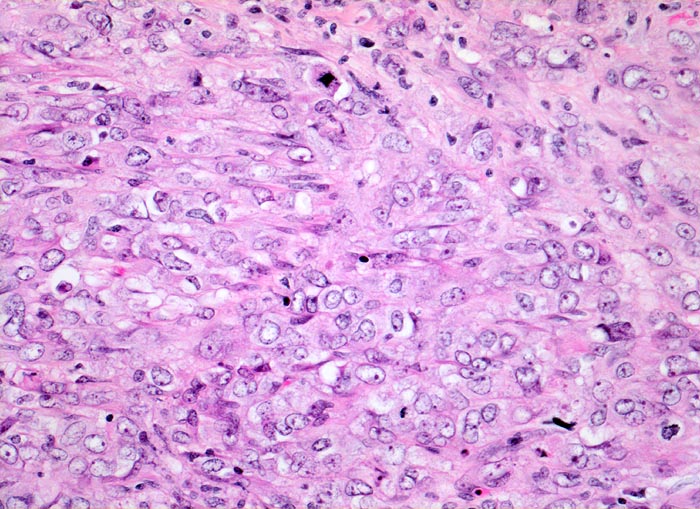
  • Solider Tumor mit fokalen Entzündungsinfiltraten.
  • Polymorphe Tumorzellen mit unscharfen Zellgrenzen und bläschenförmigen (=vesikulären) Kernen.
  • Zahlreiche Mitosen.
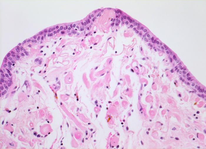
  • Ureter mit verdickten Kapillaren (Kapillarosklerose).
Das sollte der Kliniker dem Pathologen mitteilen:
  • Phenacetinabusus.
  • Tumorlokalisation.
Makroskopie
Virtuelles Präparat
Befund
Pathologischer Befund
Normalbefund
Literatur
Datum
Ersteintrag: 17.11.2018
Update: 17.11.2018