Pathopic
HiPaKu
ZyPaKu
PathoBasic
PathoBasic Cytology
Quizzes
Projektinfos
PathoPic - Projekt- und Copyright-Info
About
Pathopic
HiPaKu
ZyPaKu
PathoBasic
PathoBasic Cytology
Quizzes
PathoPic – image database
/
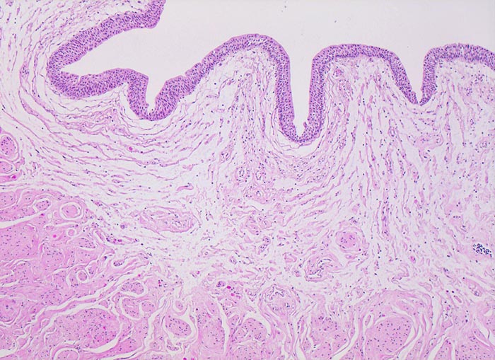
PathoPic ID 4202 - normaler Ureter
de
Diagnose
normaler Ureter
Diagnose Gruppe
Normalbefund
Topographie
Ureter
Topographie Gruppe
Niere, Harnwege
Beschreibung
Mehrreihiges Urothel über lockerem subepithelialem Stroma. Unten im Bild Anteile der glatten Muskulatur der Ureterwand.
Bilder Typ
Histologie
Vergrösserung
50
Alter
54
Geschlecht
männlich
Datum
Ersteintrag: 05.03.2002
CPS
·
©
2024 Institut für Pathologie Basel
/
Dr. med. Katharina Glatz-Krieger
.
·
v2.1