PathoPic – image database / PathoPic ID 4880 - wenig differenziertes Urothelkarzinom

de
Diagnose
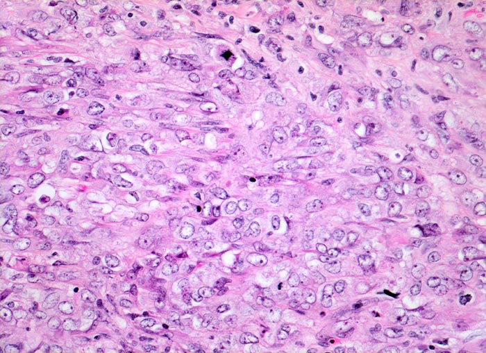
wenig differenziertes Urothelkarzinom
Diagnose Gruppe
maligner Tumor
Topographie
Harnblase
Topographie Gruppe
Niere, Harnwege
Beschreibung
Polymorphe Tumorzellen mit unscharfen Zellgrenzen und bläschenförmigen (=vesikulären) Kernen. Die Tumorzellen lassen kaum eine urotheliale Differenzierung erkennen. Mitosen sind zahlreich.
Klinik
Chronische Niereninsuffizienz bei bekanntem jahrelangem Analgetikaabusus. Inoperables Urothelkarzinom der Harnblase. Weitere Urothelkarzinome in beiden Ureteren. Die Patientin stirbt am metastasierenden Tumorleiden. (Der Fall liegt mehrere Jahre zurück).
Bilder Typ
Histologie
Vergrösserung
200
Alter
72
Geschlecht
unbekannt
Datum
Ersteintrag: 06.10.2002
Update: 16.04.2009