Pathopic
HiPaKu
ZyPaKu
PathoBasic
PathoBasic Cytology
Quizzes
Projektinfos
PathoPic - Projekt- und Copyright-Info
About
Pathopic
HiPaKu
ZyPaKu
PathoBasic
PathoBasic Cytology
Quizzes
PathoPic – image database
/
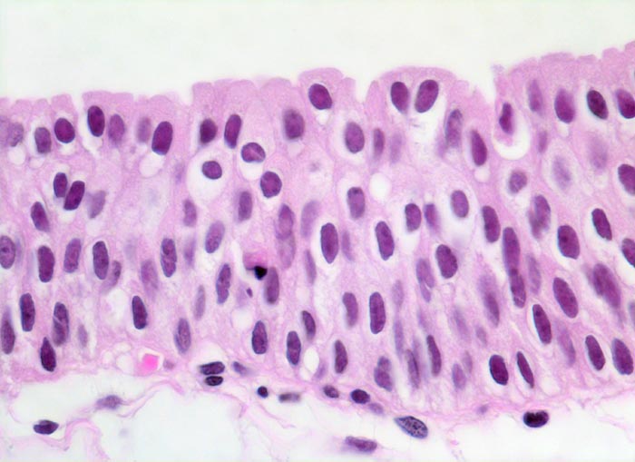
PathoPic ID 4200 - normales Urothel
de
Grad
Diagnose
normales Urothel
Diagnose Gruppe
Normalbefund
Topographie
Ureter
Topographie Gruppe
Niere, Harnwege
Beschreibung
Regelmässig geschichtetes mehrreihiges Urothel ohne Zellatypien.
Bilder Typ
Histologie
Vergrösserung
630
Alter
54
Geschlecht
männlich
Datum
Ersteintrag: 05.03.2002
Update: 01.04.2003
CPS
·
©
2024 Institut für Pathologie Basel
/
Dr. med. Katharina Glatz-Krieger
.
·
v2.1