AP/ Arteriolosklerose der Niere

Diagnose
Arteriolosklerose der Niere
Diagnose Gruppe
vaskulär / Durchblutungsstörung
Differenzialdiagnose
Topographie Gruppe
Niere, Harnwege
Topographie
Niere
Einleitung
Aetiologie und Pathogenese:
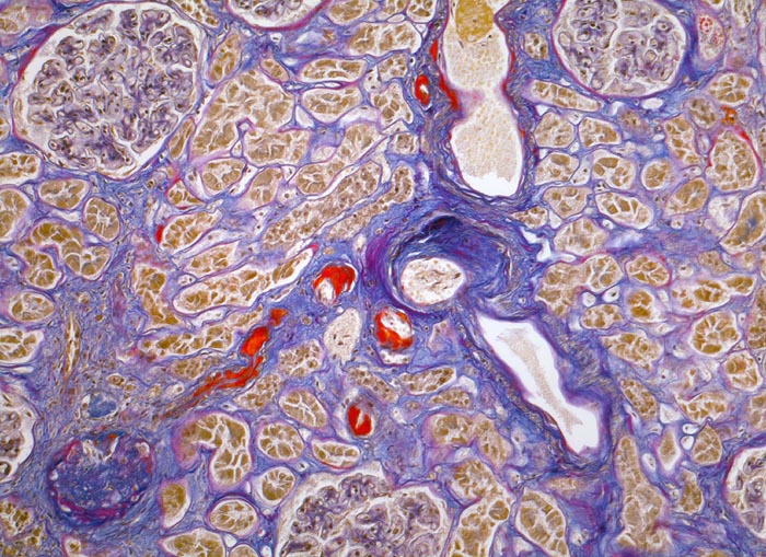
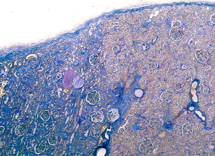
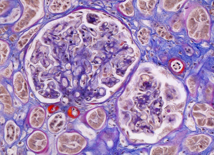
Bei der benignen Nephrosklerose kommt es als Folge von arterieller Hypertonie, eines Diabetes mellitus oder einer entzündlichen Umgebungserkrankung zu einer subendothelialen, meist exzentrischen potentiell reversiblen Insudation von Proteinen (besonders IgM, Komplementkomponenten und Lipoproteine) in die Wand von Vasa afferentia und Interlobulararterien. Beim Diabetes mellitus ist auch das Vas efferens betroffen. Funktionell kommt es zu einer Weitstellung der Arteriole und damit zu einem Verlust der Widerstandsfunktion. Zusätzliche glomeruläre Schäden gelten als Indizien für eine dekompensierte Form der benignen Nephrosklerose. Diese äussert sich in einem späten Stadium als segmentale oder globale Vernarbung der Glomerula mit Atrophie des zugehörigen Nephrons und interstitieller Fibrose mit diskreten lymphohistiozytären Begleitinfiltraten. Diese fokalen Vernarbungen führen zum makroskopischen Bild der feingranulierten arteriolosklerotischen Schrumpfniere des Hypertonikers.

Morphologie:
Makroskopisch feingranulierte verkleinerte Niere. Elektronenmikroskopisch ist das Endothel meist unauffällig. Subendothelial lassen sich knotige osmiophile Depots nachweisen (> 1913). Die Basalmembran ist oft verdickt und durch Proteindepots impräginiert. In schweren Fällen können die Myozyten auseinanderweichen. Nekrosen glatter Muskelzellen kommen aber nicht vor.
Klinik
Vorkommen:
Eine diskrete Arteriolosklerose kann in fast allen Autopsienieren nachgewiesen werden. Die benigne Nephrosklerose ist in Europa für ca. 10% der chronischen dialysepflichtigen Niereninsuffizienzen verantwortlich.

Symptomatik:
Klinisch kann eine benigne Nephrosklerose vermutet werden bei lange bestehender Hypertonie, bei nachgewiesener Albuminurie, bei hypertensiver Retinopathie und bei Linksherzhypertrophie. Bei ungenügender antihypertensiver Therapie kommt es zu einem langsamen Kreatininanstieg. Schon eine mässiggradige Hypertonie steigert langfristig das Risiko einer terminalen dialysepflichtigen Niereninsuffizienz deutlich.

Diagnostik:
Der bioptische Nachweis einer benignen Nephrosklerose kann einen bis dahin nicht erkannten oder unzureichend behandelten Bluthochdruck anzeigen.
Normalbefund
Morphologie
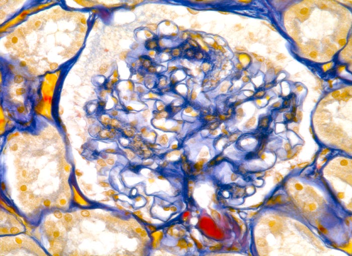
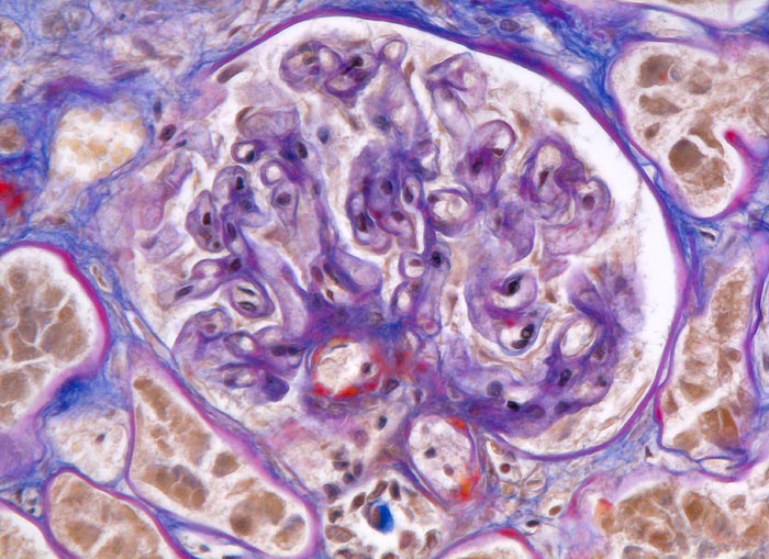
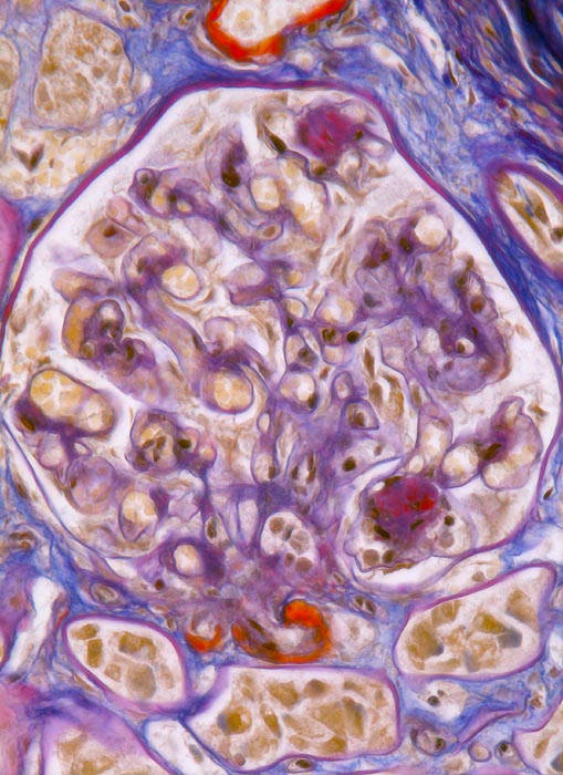
Morphologische Merkmale:
  • Hyaline rote Proteineinlagerungen in der Arteriolenwand (subendothelial) des Vas afferens und von Interlobulararterien mit Verschwinden der zellulären Gefässwandstrukturen.
Das sollte der Kliniker dem Pathologen mitteilen:
  • Diabetes mellitus (Erkrankungsdauer).
  • Arterielle Hypertonie.
Makroskopie
Virtuelles Präparat
Befund
Pathologischer Befund
Normalbefund
Datum
Ersteintrag: 14.03.2019
Update: 14.03.2019