PathoPic – image database / PathoPic ID 1913 - Arteriolosklerose bei Diabetes Frühstadium

de
Schweregrad
Diagnose
Arteriolosklerose bei Diabetes Frühstadium
Diagnose Gruppe
Systemerkrankung/Immunpathologie
Topographie
Niere
Topographie Gruppe
Niere, Harnwege
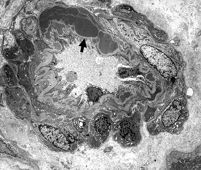
Beschreibung
Innerhalb der Basalmembran gelegene plumpe Proteinablagerungen. Die glatten Muskelzellen sind in der gesamten Peripherie erhalten.
Kommentar
Typisch für Diabetes mellitus ist der Befall von Vas afferens und efferens, oft auch der Vasa recta. In intrarenalen Arterien unspezifische Atherosklerose teilweise mit Atheromen (typisch für Diabetes). Der Schweregrad korreliert im allgemeinen mit dem Ausmass der exsudativen Läsionen der Glomerulosklerose. Die Arteriolosklerose im Vas afferens beim Diabetes ist identisch mit der Arteriolosklerose bei arterieller Hypertonie.
Bilder Typ
EM
Geschlecht
weiblich
Datum
Ersteintrag: 11.01.2002