Pathopic
HiPaKu
ZyPaKu
PathoBasic
PathoBasic Cytology
Quizzes
Projektinfos
PathoPic - Projekt- und Copyright-Info
About
Pathopic
HiPaKu
ZyPaKu
PathoBasic
PathoBasic Cytology
Quizzes
PathoPic – image database
/
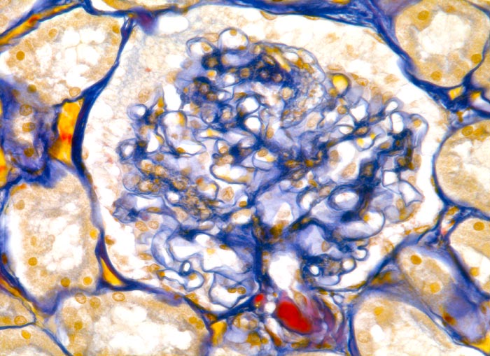
PathoPic ID 4646 - Arteriolosklerose
de
Diagnose
Arteriolosklerose
Diagnose Gruppe
Systemerkrankung/Immunpathologie
Topographie
Niere
Topographie Gruppe
Niere, Harnwege
Beschreibung
Unauffälliges Glomerulum mit homogenen, rotgefärbten Einlagerung in der
Arteriolenwand mit Verschwinden der zellulären Gefässwandstrukturen.
Zusatzbefund
fein granulierte Nierenoberfläche und fokale vaskuläre Narben
Klinik
Diabetes mellitus Typ II und arterielle Hypertonie seit 10 Jahren. Leichte Proteinurie.
Bilder Typ
Histologie
Vergrösserung
320
Alter
74
Geschlecht
unbekannt
Datum
Ersteintrag: 05.05.2002
CPS
·
©
2024 Institut für Pathologie Basel
/
Dr. med. Katharina Glatz-Krieger
.
·
v2.1