PathoPic – image database / PathoPic ID 4644 - Arteriolosklerose und Atherosklerose

de
Diagnose
Arteriolosklerose und Atherosklerose
Diagnose Gruppe
Systemerkrankung/Immunpathologie
Topographie
Niere
Topographie Gruppe
Niere, Harnwege
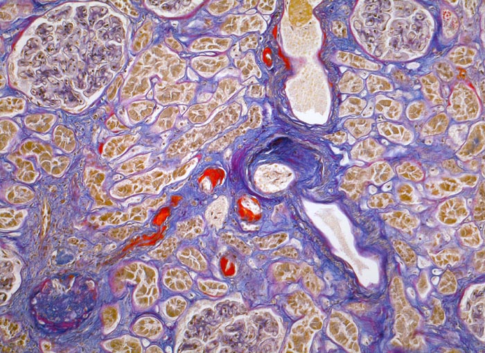
Beschreibung
Mittelgrosse Arterie mit stenosierender Intimafibrose. Ausgeprägte Hyalinisierung der Arteriolen. Leichte interstitielle Fibrose. Verödetes Glomerulum
Klinik
Diabetes mellitus Typ II und arterielle Hypertonie seit 10 Jahren. Leichte Proteinurie.
Kommentar
Als Folge stenosierender Gefässveränderungen kommt es zu fokaler ischämischer Atrophie der Nierenrinde (Subinfarkt) gekennzeichnet durch eine tubuläre Atrophie und interstitielle Fibrose.
Bilder Typ
Histologie
Vergrösserung
100
Alter
74
Geschlecht
unbekannt
Datum
Ersteintrag: 06.10.2002