Synonym:
Panarteriitis nodosa Makroform, PAN
Definition der PAN:
Nekrotisierende Entzündung mittelgrosser und kleiner Arterien ohne Glomerulonephritis und ohne Vaskulitis in Arteriolen, Kapillaren oder Venolen. Keine Assoziation mit antinukleären Antikörpern (ANCA). Kein mukokutanes Lymphknotensyndrom. Die Polyarteritis nodosa kann primär systemisch oder als isolierte Organvaskulitis auftreten (in Haut, Gallenblase, Appendix, Darm, Mamma, Hoden oder Uterus).
Histomorphologische Definition einer Vaskulitis:
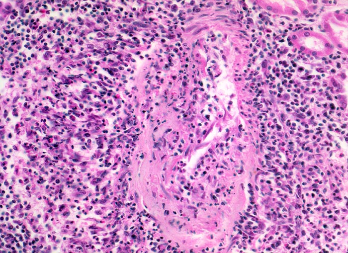
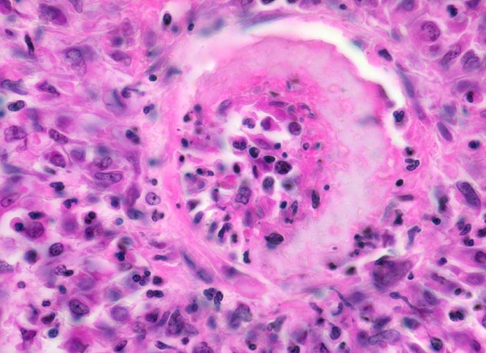
Aktive Vaskulitis: Infiltration und/oder Destruktion der Gefässwand durch ein Entzündungsinfiltrat. Intraluminale Fibrinthromben oder intramurale Fibrinablagerungen (fibrinoide Nekrose).
Abgeheilte Vaskulitis: Segmentaler oder kompletter Verlust der elastischen Fasern in mittleren und grossen Gefässen assoziiert mit zellarmer Vernarbung der Gefässwand.
Revidierte internationale Chapel Hill-Nomenklatur der Vaskulitiden 2012:
- Grossgefässvaskulitiden: Takayasu Arteritis, Riesenzellarteritis
- Vaskulitis mittelgrosser Gefässe: Polyarteriitis nodosa, Kawasaki Syndrom
- Kleingefässvaskulitiden: ANCA assoziierte Vaskulitiden und Immunkomplex Kleingefässvaskulitiden
- Variable Gefässe: Morbus Behcet, Cogan's Syndrom
- Einzelorganvaskulitis: Vaskulitis in Arterien oder Venen jeder Grösse in einem einzelnen Organ ohne Hinweise auf eine limitierte Form einer systemischen Vaskulitis z.B. kutane leukozytoklastische Vaskulitis, isolierte Aortitis u.a.
- Vaskulitis assoziiert mit Systemerkrankungen: Lupusvaskulitis, Rheumatoide Vaskulitis, Vaskulitis bei Sarkoidose u.a.
- Vaskulitis assoziiert mit wahrscheinlicher Ätiologie: HCV assoziierte kryoglobulinämische Vaskulitis, HBV assoziierte Vaskulitis, Syphilitische Aortitis, Medikamentenassoziierte Immunkomplexvaskulitis, Malignom assoziierte Vaskulitis u.a.
Die ANCA assoziierten Vaskulitiden umfassen die mikroskopische Polyangiitis, die Granulomatose mit Polyangiitis (Morbus Wegener) und die eosinophile Granulomatose mit Polyangiitis (Churg-Strauss Syndrom).
Grosse Arterien umfasssen die Aorta und ihre Äste und entsprechende Venen, welche ganze Körperregionen versorgen (Kopf-, Hals-, und Extremitätenarterien). Mittelgrosse Gefässe entsprechen den organversorgenden Gefässen und deren initialen Verzweigungen (A. renalis, A. hepatica, Mesenterialarterien, Koronararterien…) und kleine Gefässe allen Gefässen distal der mittelgrossen Gefässe inklusive Arteriolen, Kapillaren und Venolen. Kleine Gewebsbiopsien enthalten entsprechend meist ausschliesslich kleine Gefässe.
Grossgefässvaskulitiden, Vaskulitiden mittelgrosser Gefässe und Kleingefässvaskulitiden können prinzipiell alle Gefässkaliber befallen. Grossgefässvaskulitiden befallen aber prädominant grosse Gefässe und die PAN befällt prädominant mittelgrosse Arterien. ANCA-assoziierte Kleingefässvaskulitiden können seltenerweise auch mittelgrosse Arterien oder Venen betreffen.
Sekundäre vaskulitische Veränderungen können vorkommen in Gefässen unmittelbar angrenzend an ein Ulkus oder eine Gewebsnekrose. Diese sind entsprechend lokal begrenzt.
Aetiologie der PAN:
Ätiopathogenetisch wird bei der PAN eine immunmediierte nekrotisierende Vaskulitis angenommen. Als Auslöser kommen Antigene von Hepatitis B- und C-Viren, Streptokokken, Autoimmunerkrankungen, Tumoren und Kryoglobuline in Betracht.
Lokalisation der PAN:
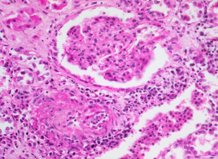
Es handelt sich um eine systemische nekrotisierende Vaskulitis mit Befall mittelgrosser und kleiner Arterien meist ohne Befall von Arteriolen, Kapillaren (Glomerula!) und Venolen.
Der Nierenbefall ist Teilaspekt einer Systemkrankheit mit bevorzugtem Befall von Niere, Herz, Leber, Magen-Darmtrakt und Muskulatur.
Morphologie der PAN:
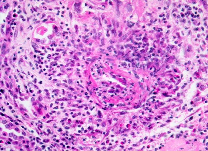
In den beteiligten Organen sind nicht alle Arterien pathologisch verändert und oft ist die Gefässwand nicht zirkulär sondern nur segmental betroffen und die Gefässveränderungen befinden sich in unterschiedlichen Stadien. Folgen der Gefässveränderungen sind Infarkte und Mikroaneurysmata. Die Nieren sind im akuten Stadium oft vergrössert. An der Oberfläche sind Petechien neben unterschiedlich grossen Infarkten erkennbar. Gelegentlich erkennt man auf der Schnittfläche Gefässaneurysmata, thrombosierte Arterien und Papillennekrosen. Im häufigeren chronischen Stadium sind die Nieren verkleinert und aufgrund von Infarktnarben grob gebuckelt.
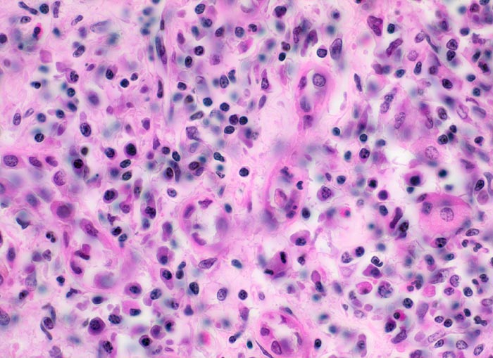
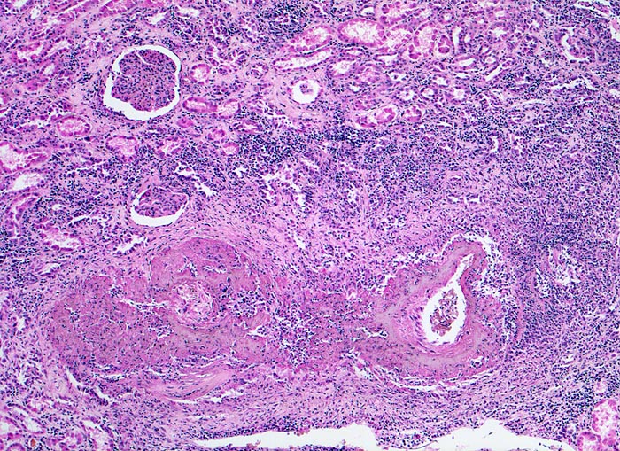
Befallen sind prärenale und grössere intrarenale Nierenarterienäste bei meist fehlender Beteiligung der Arteriolen und definitionsgemäss fehlendem Befall der glomerulären Kapillaren. Die betroffenen Gefässe zeigen segmentale transmurale oft durch Thrombosierung komplizierte Wandnekrosen mit initial granulozytenreichem Infiltrat. Im Verlauf werden die Nekrosen durch Granulations- und Narbengewebe organisiert. An grossen Arterien kann dies zu Knotenbildungen und Aneurysmata führen. Oft findet man in ein und demselben Gefäss frische Nekrosen neben reparativen Veränderungen und Narben. Das übrige Nierengewebe zeigt als Folge der Vaskulitis Kollapsglomerula, Infarkte und ischämische Tubulusatrophie mit begleitender interstitieller Fibrose und Entzündung.
update 30. Juni 2014