PathoPic – image database / PathoPic ID 4250 - Polyarteritis nodosa Makroform: tubulointerstitielle Entzündung

de
Diagnose
Polyarteritis nodosa Makroform: tubulointerstitielle Entzündung
Diagnose Gruppe
Systemerkrankung/Immunpathologie
Topographie
Niere
Topographie Gruppe
Niere, Harnwege
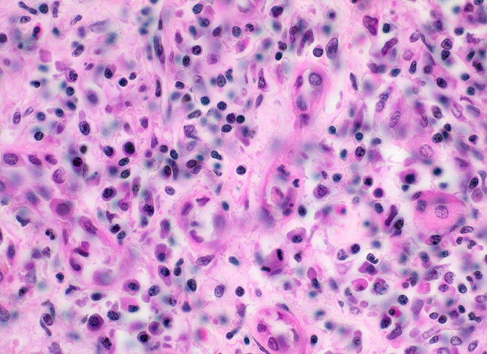
Beschreibung
Der tubulointerstitielle Raum ist ödematös aufgelockert und zeigt ein gemischtes Infiltrat aus Plasmazellen, Lymphozyten, Histiozyten und vereinzelten eosinophilen Granulozyten.
Zusatzbefund
Makroskopischer Befund der Nieren: Vergrösserte Nieren mit Petechien und mehreren frischen, teils hämorrhagischen Infarkten.
Klinik
Seit einigen Wochen Fieber unklarer Ätiologie, Gewichtsverlust und Anämie. Im Rahmen der Abklärungen erstmals festgestellte arterielle Hypertonie. Der Patient verstirbt an einem Myokardinfarkt.
Bilder Typ
Histologie
Vergrösserung
400
Alter
64
Geschlecht
unbekannt
Datum
Ersteintrag: 02.07.2002