PathoPic – image database / PathoPic ID 4252 - Polyarteritis nodosa Makroform: akute Phase

de
Diagnose
Polyarteritis nodosa Makroform: akute Phase
Diagnose Gruppe
Systemerkrankung/Immunpathologie
Topographie
Niere
Topographie Gruppe
Niere, Harnwege
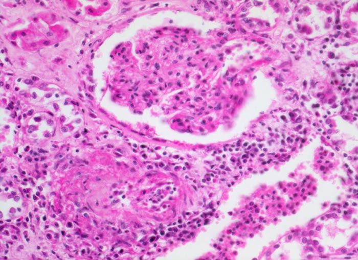
Beschreibung
Unauffälliger Glomerulus. Links unten im Bild eine kleinere Arterie mit segmentaler fibrinoider Gefässwandnekrose. Das Lumen ist gefüllt mit Entzündungszellen. Im Interstitium rund um das betroffene Gefäss ist ebenfalls ein gemischtes Infiltrat erkennbar.
Zusatzbefund
Makroskopischer Befund der Nieren: Vergrösserte Nieren mit Petechien und mehreren frischen, teils hämorrhagischen Infarkten.
Klinik
Seit einigen Wochen Fieber unklarer Ätiologie, Gewichtsverlust und Anämie. Im Rahmen der Abklärungen erstmals festgestellte arterielle Hypertonie. Der Patient verstirbt an einem Myokardinfarkt.
Kommentar
Bei der Polyarteriitis Makroform sind die Arteria renalis, Arteria lobaris, Arteria arcuata und Arteria interlobaris befallen. Glomeruli und Arteriolen sind nicht betroffen.
Bilder Typ
Histologie
Vergrösserung
200
Alter
64
Geschlecht
unbekannt
Datum
Ersteintrag: 02.07.2002