AP/ Fremdkörpergranulom

Diagnose
Fremdkörpergranulom
Diagnose Gruppe
Artefakt / Fremdkörper / Pigment
Differenzialdiagnose
Topographie Gruppe
Weichteile
Topographie
Weichteile
Einleitung
Aetiologie:
Fast jeder inerte Fremdkörper, wie ein Glasstück, kristallines Material, Talk, Erde, chirurgisches Nahtmaterial oder ein Nahrungsmittelrest (> 3028) kann ein Fremdkörpergranulom induzieren. Ein Fremdkörpergranulom ist die Antwort auf inertes Material, das zu gross ist, um von Makrophagen phagozytiert zu werden.

Morphologie:
Histologisch besteht das Granulom aus Makrophagen, welche sich zu grossen Zellen mit unscharfen Zellgrenzen, den Epitheloidzellen differenziert haben. Einige der Epitheloidzellen können zu Riesenzellen vom Fremdkörpertyp fusionieren, welche oft phagozytiertes Material enthalten. Im Gegensatz zu den T-Zell induzierten Riesenzellen vom Langhans Typ mit hufeisenartig in der Peripherie angeordneten Kernen, sind die Kerne der Fremdkörperriesenzellen zufällig im Zytoplasma verteilt.

Anmerkung:
Die meisten Fremdkörpergranulome haben keine klinische Bedeutung. Sie geben dem Pathologen aber oftmals einen Hinweis auf eine vorausgegangene Operation. Der Nachweis von Talkgranulomen in Lunge oder Leber kann einen Hinweis geben auf intravenösen Drogenabusus.
Klinik
Vorkommen:
In der narbigen Kapsel um Endoprothesematerial findet sich regelhaft eine Fremdkörperreaktion auf Zement-(> 569) Polyaethylen- (> 3509) oder Metallabrieb (> 400). Bei einer Talkeinbringung in den Pleuraraum wegen rezidivierter Pleuraergüsse bei Tumorpatienten kann durch die Induktion einer Fremdkörperreaktion eine Verklebung von Pleura visceralis und parietalis erreicht werden. Damit werden weitere Ergussbildungen verhindert.

Diagnostik:
Fremdkörpergranulome können unter der Haut als Knoten palpiert werden.
Normalbefund
Morphologie
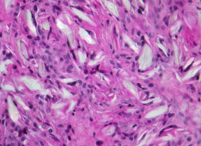
Morphologische Merkmale:
  • Knotige Granulome umgeben von wenig Skelettmuskulatur.
  • Granulombildung aus Histiozyten und mehrkernigen Riesenzellen vom Fremdkörpertyp.
  • Im Zytoplasma der Riesenzellen findet sich phagozytiertes exogenes Fremdmaterial.
  • In den helleren Arealen des Granuloms liegen grössere Ansammlungen von Fremdmaterial extrazellulär.
Das sollte der Kliniker dem Pathologen mitteilen:
  • Vorausgegangene Operation oder Unfallanamnese.
  • Art des Fremdmaterials, soweit bekannt.
Makroskopie
Befund
Pathologischer Befund
Normalbefund
Datum
Ersteintrag: 10.07.2019
Update: 10.07.2019