PathoPic – image database / PathoPic ID 3028 - Nahrungsmittelgranulom

de
Diagnose
Nahrungsmittelgranulom
Diagnose Gruppe
Artefakt / Fremdkörper / Pigment
Topographie
Oesophagus
Topographie Gruppe
Oesophagus, Magen
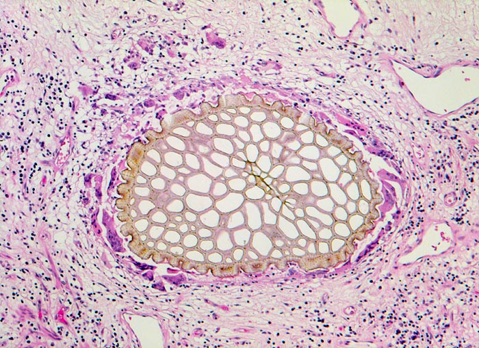
Beschreibung
Chronische Entzündung und Ödem der Submukosa. Im Bildzentrum ein pflanzlicher Fremdkörper, welcher von zahlreichen Fremdkörperriesenzellen umlagert wird.
Zusatzbefund
Chronisches Ulkus nach Strahlentherapie eines Ösophaguskarzinoms.
Klinik
Oesophagus-Karzinom mittleres Drittel, neoadjuvant vorbehandelt.
Bilder Typ
Histologie
Alter
67
Geschlecht
männlich
Datum
Ersteintrag: 20.03.2002