PathoPic – image database / PathoPic ID 400 - Austausch Hüft-Totalprothese: Metallabrieb

de
Diagnose
Austausch Hüft-Totalprothese: Metallabrieb
Diagnose Gruppe
Artefakt / Fremdkörper / Pigment
Topographie
Gelenk, Hüfte
Topographie Gruppe
Weichteile
Beschreibung
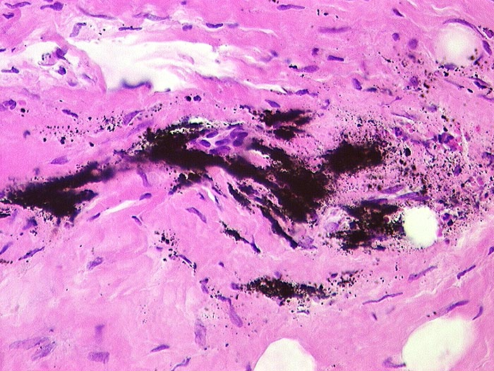
Metallabrieb: konfluierende feine schwarze Körnchen im Narbengewebe um das künstliche Hüftgelenk.
Bilder Typ
Histologie
Alter
59
Geschlecht
männlich
Datum
Ersteintrag: 09.11.2001
Update: 22.02.2005