PathoPic – image database / PathoPic ID 3509 - Polyäthylenabrieb

de
Diagnose
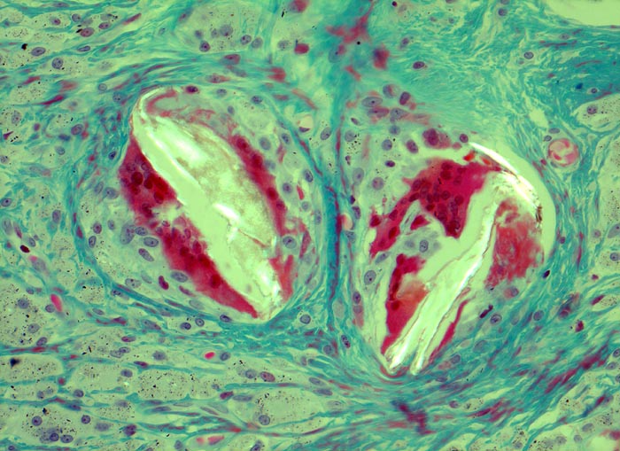
Polyäthylenabrieb
Diagnose Gruppe
Artefakt / Fremdkörper / Pigment
Topographie
Weichteile Hüfte
Topographie Gruppe
Weichteile
Beschreibung
Langes fadenförmiges doppelbrechendes Fremdmaterial (Polyethylen) umgeben von Fremdkörperriesenzellen. Neben den Riesenzellen zahlreiche Histiozyten mit doppelbrechendem granulärem und stäbchenförmigem Material (Zirkondioxid).
Klinik
St.n. Hüftgelenksendoprothese vor 7 Jahren. Jetzt Prothesenlockerung. Entnahme von Gelenkkapsel bei Wechseloperation.
Bilder Typ
Histologie
Vergrösserung
200
Alter
80
Geschlecht
unbekannt
Datum
Ersteintrag: 17.12.2001
Update: 22.02.2005