AP/ Phäochromozytom

Diagnose
Phäochromozytom
Diagnose Gruppe
Präneoplasie/ Atypie/ Dignität?
Differenzialdiagnose
  • - Nebennierenrindenadenom- Nebennierenrindenkarzinom- Neuroblastom
Topographie Gruppe
Endokrinium
Topographie
Nebenniere
Einleitung
Histogenese:
Paraganglien sind neuroendokrine Organe, die aus der Neuralleiste abstammen. Diese sind assoziiert mit sympathischen oder parasympathischen Nerven. Die sympathischen Paraganglien werden unterteilt in das Nebennierenmark und extra-adrenale sympathische Paraganglien. Neuroendokrine Tumoren des Nebennierenmarks werden als Phäochromozytome bezeichnet. Tumoren, die von extraadrenalen Paraganglien ausgehen, werden Paragangliome genannt. Die Paragangliome der sympathischen (retroperitonealen) Paraganglien können Katecholamine, meist Noradrenalin und Dopamin sezernieren, die Tumoren der parasympathischen Paraganglien (Kopf&Halsbereich beim Glomus caroticum oder Mittelohr) sind meist endokrin inaktiv. 
 
Genetik:
Phäochromozytome und Paragangliome sind in etwa 50% der Fälle hereditär und resultieren aus Keimbahnmutationen in über 15 verschiedenen Tumorprädispositionsgenen unter anderem im Rahmen einer multiplen endokrinen Neoplasie (Typ 2a oder 2b), bei von-Hippel-Lindau-Syndrom (VHL-Syndrom), bei Neurofibromatose Typ 1 oder Keimbahnmutationen in den Subunits des Enzyms Succinatdehydrogenase (SDH). Damit sind sie die am häufigsten hereditär bedingten Tumoren des Menschen. Deshalb wird eine humangenetische Abklärung bei allen Patienten mit Paragangliomen oder Phäochromozytom empfohlen unabhängig von der Familienanamnese. Der Nachweis der Heredität wird heute genetisch geführt (Nachweis der entsprechenden Keimbahnmutation). Eine immunhistochemische Negativität des Tumorgewebes für die Succinatdehydrogenase korreliert mit einer Keimbahnmutation in einer Subunit des SDH-Gens. In solchen Fällen lässt sich die aufwändige Mutationssuche auf die Subunits des SDH-Gens beschränken.
 
Lokalisation:
Typische Lokalisationen von sympathischen Paragangliomen sind im Nebennierenmark (90%), am Abgang der A. mesenterica inferior (Zuckerkandl'sches Organ) oder retroperitoneal. Jugulotympanische und carotideale Tumoren sind meist parasympathische Paragangliome, die meist nicht in endokrinen Syndromen resultieren. Hereditäre Phäochromozytome sind in der Hälfte der Fälle bilateral (synchron oder metachron) und häufiger multipel. Sie entstehen typischerweise auf dem Boden einer erst diffusen, dann nodulären Nebennierenmarkhyperplasie. 
 
Bestimmung der Dignität und Prognose:
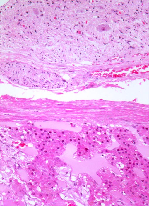
Etwas mehr als 10% der Phäochromozytome und rund 20% der Paragangliome zeigen einen metastatischen Verlauf (bei SDHB Keimbahnmutation bis zu 30%). Diese werden gemäss WHO bezeichnet als metastasiertes Phäochromozytom bzw. Paragangliom. Der Begriff «malignes Phäochromozytom/Paragangliom» wird nicht mehr verwendet. Der kombinierte Einsatz histologischer und immunhistologischer Merkmale erlaubt lediglich eine Risikoabschätzung für eine Metastasierung eines individuellen Tumors nicht jedoch die sichere Bestimmung von Malignität. Folgende Merkmale finden sich häufiger bei metastasierenden Phäochromozytomen: Grosse Tumoren mit Nekrosen, erhöhte proliferative Aktivität oder atypische Mitosen, Kapselinvasion oder extrakapsuläre Gefässinvasion, Zellreichtum und ausgeprägte zelluläre Atypien, fehlende Sustentacularzellen. 
 
update 2. September 2020
Klinik
Vorkommen:
Die jährliche Inzidenz von Phäochromozytomen und funktionellen Paragangliomen liegt bei knapp 1/100'000. Patienten mit Hypertonie haben etwa in 0.1-1% der Fälle ein Phäochromozytom. 
 
Symptomatik:
Die Symptome von Phäochromozytomen oder funktionellen Paragangliomen werden als 6 P zusammengefasst: 
·         Pressure (arterielle Hypertonie bei ca. 90%) 
·         Pain (Kopf, Brust, Abdomen) 
·         Perspiration (Schwitzen) 
·         Palpitation (Tachyarrhythmien) 
·         Pallor (Blässe) 
·         Paroxysms (anfallsweise auftretende arterielle Hypertonie bie 40-50%) 

Diagnostik:
Aufgrund der geringen Inzidenz wird in der Literatur eine Vorselektion der Patienten empfohlen, bevor weitergehende Abklärungen (biochemische Diagnostik und Bildgebung) veranlasst werden. Die laborchemische Testung bei Phäochromozytom/Paragangliom sollte die Messung von Metanephrin im Blutplasma oder im Urin beinhalten. In folgenden Situationen wird die Suche nach einem katecholaminproduzierenden Tumor durchgeführt: 
·         Verdächtige Symptomatik (6 P) 
·         Arterielle Hypertonie mit Therapieresistenz (mehr als drei Antihypertensiva), Alter unter 30 Jahre und/oder paradoxer Blutdruckanstieg unter Betablocker oder Metoclopramid 
·         Bluthochdruckkrisen, auch nach schweren Belastungen wie z. B. Operationen, Anästhesie, TRH-Applikation 
·         Genetische Prädisposition oder positive Familienanamnese für Phäochromozytom oder andere endokrine Tumoren 
·         Zufällig in der Bildgebung entdeckter adrenaler Tumor (Inzidentalom) Selbst mit dieser Vorselektion lässt sich nur bei ca. 1:300 Abklärungen ein Phäochromozytom oder ein funktionelles Paragangliom nachweisen, da die ersten drei Kriterien eine geringe Vortestwahrscheinlichkeit aufweisen. Eine mässig bis hohe Vortestwahrscheinlichkeit besteht bei genetischer Prädisposition/positiver Familienanamnese oder bei Kombination typischer Symptome mit verdächtiger Bildgebung. 
 
Therapie:
Die Operationsindikation ist mit dem Tumornachweis generell gegeben. Jede Operation eines hyperkatecholaminämischen Tumors erfordert eine spezielle medikamentöse Vorbehandlung. 
 
 update 30. August 2020 
Normalbefund
Morphologie
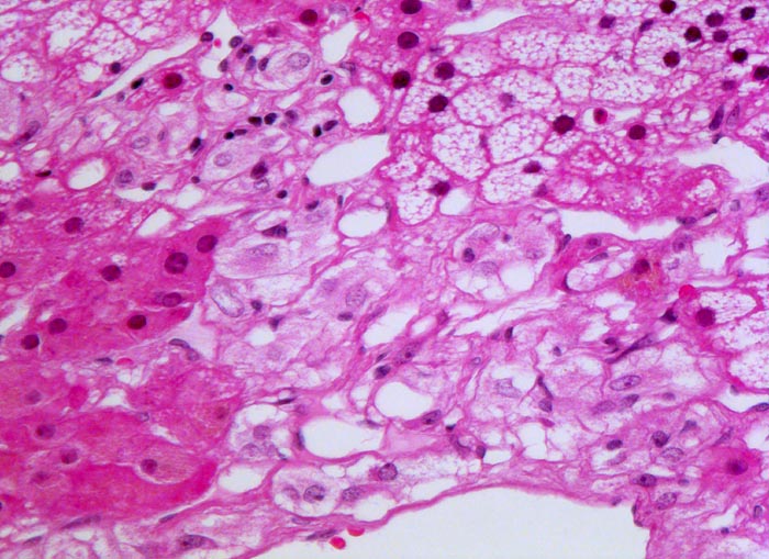
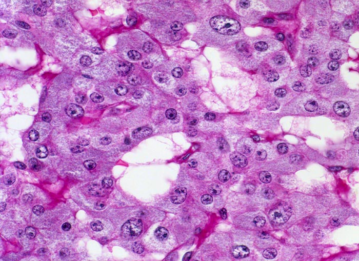
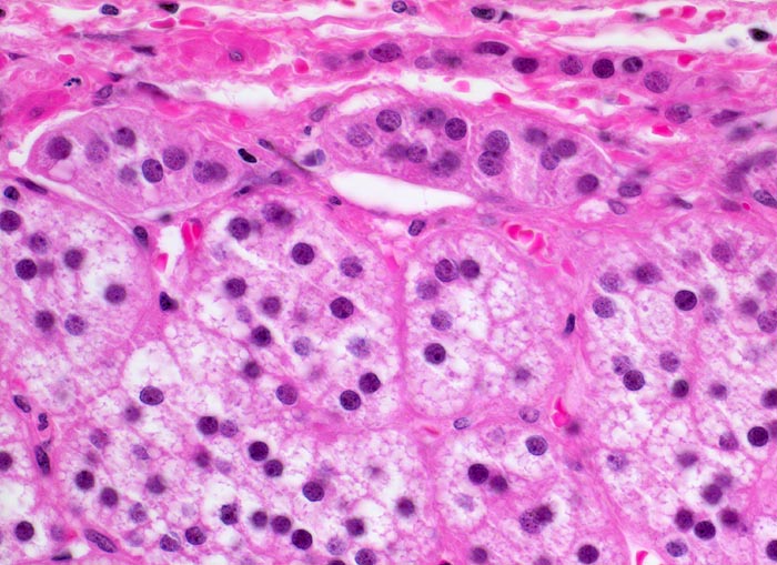
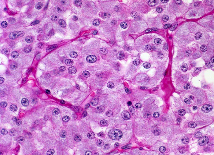
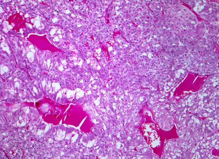
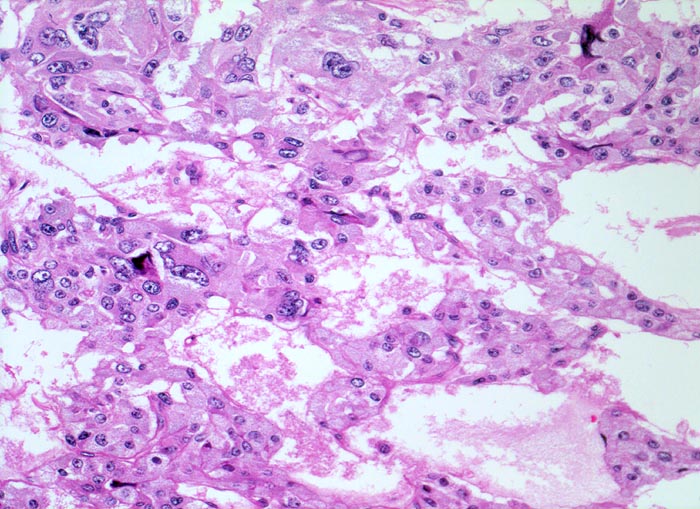
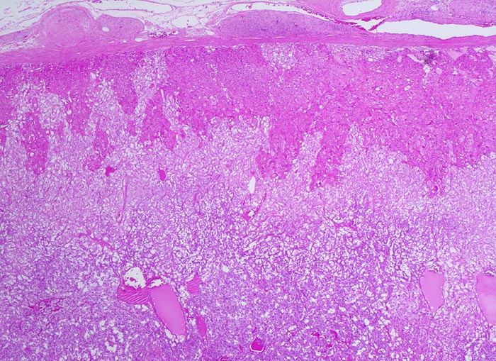
Morphologische Befunde: 
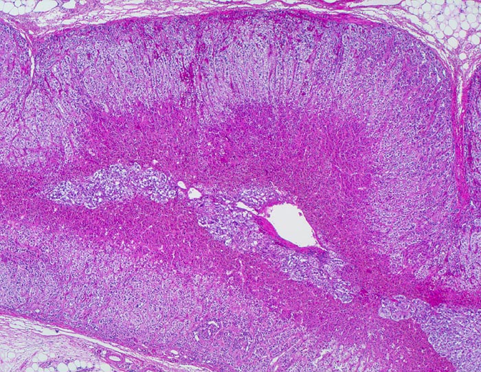
  • Unscharf begrenzter, gefässreicher Tumor ausgehend vom Nebennierenmark. 
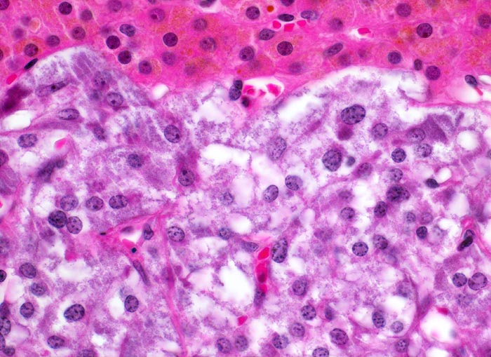
  • Zungenförmige Infiltration der angrenzenden Nebennierenrinde. Die Zellen der Nebennierenrinde haben reichlich eosinophiles Zytoplasma und kleinere Kerne als die Tumorzellen. 
  • „Zellballen“ umgeben von schmalen Bindegewebssepten mit kapillären Gefässen. 
  • Polygonale Tumorzellen mit reichlich granuliertem basophilem Zytoplasma und rundovalen Kernen mit uniform feinkörnigem Pfeffer und Salz Chromatin sowie prominentem Nukleolus. 
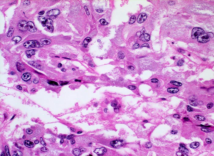
  • Herdförmig Tumorzellen mit sehr grossen polymorphen Zellkernen (links oben). 

Das sollte der Kliniker dem Pathologen mitteilen: 
  • Multiple Tumoren und weitere Tumoren, die Komponenten eines Syndroms sein könnten.
  • Allfällige Resultate einer humangenetischen Untersuchung. 
  • Persönliche Anamnese und positive Familienanamnese. 
  • Resultat der biochemischen Tests.
  • St.n. präoperativer Embolisation. 

 update 30. August 2020 
Makroskopie
Befund
Pathologischer Befund
Normalbefund
Datum
Ersteintrag: 10.07.2019
Update: 01.09.2020