PathoPic – image database / PathoPic ID 4862 - Phaeochromozytom

de
Diagnose
Phaeochromozytom
Diagnose Gruppe
Präneoplasie/ Atypie/ Dignität?
Topographie
Nebenniere
Topographie Gruppe
Endokrinium
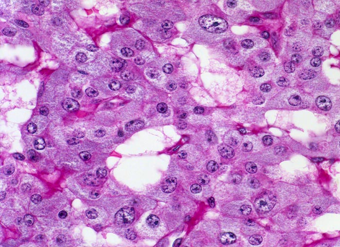
Beschreibung
Trabekel aus grossen Tumorzellen. Unterschiedlich grosse runde Kerne mit feinem Chromatin und teilweise vergrösserten Nukleolen. Das Zytoplasma enthält reichlich basophile Granula.
Klinik
Der Patient klagt über rezidivierende Kopfschmerzen seit zirka zwei Monaten. In letzter Zeit hat er Alcacyl genommen, jedoch ohne Erfolg. Die Computertomographie des Abdomens zeigt einen 5cm grossen Tumor im Bereich der rechten Nebenniere. Die Familienanamnese für multiple endokrine Neoplasien (MEN) ist bland.
Kommentar
Die Menge der intrazytoplasmatischen Granula erlaubt keine Aussage über das Ausmass der endokrinen Aktivität.
Bilder Typ
Histologie
Vergrösserung
400
Alter
36
Geschlecht
männlich
Datum
Ersteintrag: 11.06.2002