PathoPic – image database / PathoPic ID 4192 - normale Nebenniere

de
Diagnose
normale Nebenniere
Diagnose Gruppe
Normalbefund
Topographie
Nebenniere
Topographie Gruppe
Endokrinium
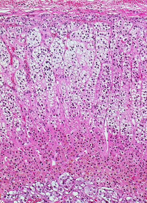
Beschreibung
Schichten der Nebenniere von oben nach unten:
Zona glomerulosa: kleine eosinophile Zellen mit dunklem Kern; Zellnester. Bildungsort für Mineralocorticoide.
Zona fasciculata: große, helle, schaumige Zellen radiär ausgerichtete, parallele Zellsäulen. Bildungsort für Glucocorticoide.
Zona reticularis: intensiv angefärbte, kleinere Zellen; netzartige Zellstränge (eher locker); bräunliches Lipofuscinpigment. Bildungsort für Sexualhormone.
Nebennierenmark: feingranulierte, polygonale Zelle; enge Zellnester; muskelstarke, weitlumige Venen (mit Längsmuskeln); evtl. multipolare Ganglienzellen (große Zelle + großer Kern)
Kommentar
Das kombinierte Gewicht beider Nebennieren bei gesunden Erwachsenen Frauen und Männern beträgt ca. 8g. Die Dicke der normalen Nebennierenrinde beträgt 1mm (0.7-1.3mm).
Bilder Typ
Histologie
Vergrösserung
100
Alter
54
Geschlecht
männlich
Datum
Ersteintrag: 05.03.2002
Update: 15.08.2012