PathoPic – image database / PathoPic ID 4857 - Phaeochromozytom

de
Diagnose
Phaeochromozytom
Diagnose Gruppe
Präneoplasie/ Atypie/ Dignität?
Topographie
Nebenniere
Topographie Gruppe
Endokrinium
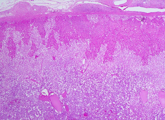
Beschreibung
Der gefässreiche basophile Tumor ist nicht bekapselt. Der Tumor infiltriert die Nebennierenrinde zungenförmig. Im periadrenalen Weichteilgewebe sind Anschnitte eines peripheren Nerven erkennbar.
Klinik
Der Patient klagt über rezidivierende Kopfschmerzen seit zirka zwei Monaten. In letzter Zeit hat er Alcacyl genommen, jedoch ohne Erfolg. Die Computertomographie des Abdomens zeigt einen 5cm grossen Tumor im Bereich der rechten Nebenniere. Die Familienanamnese für multiple endokrine Neoplasien (MEN) ist bland.
Bilder Typ
Histologie
Vergrösserung
25
Alter
36
Geschlecht
männlich
Datum
Ersteintrag: 11.06.2002