AP/ Nicht invasives papilläres Urothelkarzinom pTa

Diagnose
Nicht invasives papilläres Urothelkarzinom pTa
Diagnose Gruppe
maligner Tumor
Differenzialdiagnose
Topographie Gruppe
Niere, Harnwege
Topographie
Harnblase
Einleitung
WHO Klassifikation:
Bei den nicht invasiven papillären Urotheltumoren (=pTa) unterscheidet die WHO nach zunehmendem Atypiegrad folgende Tumoren:
  • non-invasive papillary urothelial neoplasm of low malignant potential (=PUNLMP) ohne Progressionsrisiko und mit sehr geringem Rezidivrisiko
  • nicht invasives papilläres Urothelkarzinom low grade mit 5% Progressionsrisiko zu einem invasiven Karzinom und 50-70% Rezidivrisiko
  • nicht invasives papilläres Urothelkarzinom high grade
  • Carcinoma in situ. In mehr als 90% assoziiert mit papillärem Tumor oder invasivem Karzinom.

Lokalisation:
92% Urotheltumoren sind in der Harnblase, 6% im Ureter und 2% im Nierenbecken lokalisiert. Oft ist der Befall multizentrisch.

Morphologie:
Histologisch sind die papillären Urothelkarzinome aufgebaut aus fingerförmigen, schlanken Papillen bedeckt von einem verbreiterten Urothel (mehr als 7 Zellagen breit) mit meist nur geringen zytologischen Atypien. Das subepitheliale Stroma ist per Definition nicht tumorinfiltriert.

Genetik:
Auf genetischer Ebene unterscheidet man bei den Urothelkarzinomen zwei Subtypen. Die erste Kategorie bilden die genetisch stabilen pTa Urotheltumoren mit geringen oder mässigen Epithelatypien (PUNLMP und nicht invasives papilläres Urothelkarzinom low grade pTa G1-G2). Diese Gruppe weist nur wenige genetische Veränderungen auf und hat ein geringes Progressionsrisiko. Häufig sind Verluste auf Chromosom 9 und Mutationen des FGFR3 Gens.
Die zweite Kategorie bilden die genetisch instabilen Tumoren (siehe Präparat 89,invasives Urothelkarzinom), welche die nicht invasiven papillären Karzinome mit schweren Epithelatypien (pTa G3), das Carcinoma in situ (pTis) und die invasiven Urothelkarzinome (pT1-4) umfasst. Invasive Karzinome entwickeln sich meist aus den genetisch instabilen high grade Läsionen. In diesen können zu einem frühen Zeitpunkt p53 Mutationen und im weiteren Verlauf zahlreiche weitere chromosomale Aberrationen inklusive high level Genamplifikationen nachgewiesen werden. Mehr als 90% dieser genetisch instabilen Tumoren sind aneuploid.
update 7. September 2011
Klinik
Vorkommen:
Der papilläre nicht invasive Urotheltumor ist der häufigste Harnblasentumor. Mehr als 70% aller neu diagnostizierten neoplastischen Veränderungen der Harnblase wachsen nicht oder nur oberflächlich invasiv. Bei mehr als der Hälfte dieser Läsionen handelt es sich um pTa Tumoren. Diese Tumoren kommen vorwiegend bei älteren Patienten vor. Die Inzidenz nimmt mit dem Alter zu.

Risikofaktoren:
Als Risikofaktoren gelten Nikotin (wichtigster Risikofaktor), chemische Karzinogene, chronische Urozystitis und Phenazetinabusus.

Symptomatik:
Hämaturie (80%) und Dysurie können Zeichen eines Harnblasentumors, aber auch einer Zystitis sein. Jede Makrohämaturie ist unter anderem verdächtig auf einen Urotheltumor.

Diagnostik:
Wenn die Symptome trotz Therapie der Zystitis persistieren, sollten weitere diagnostische Schritte eingeleitet werden. Die Diagnosestellung erfolgt am sichersten zystoskopisch. Zytologische Urinuntersuchungen sind bei pTa Tumoren oft falsch negativ. Biopsien verdächtiger Läsionen sollten wenn möglich die Harnblasenwandmuskulatur miterfassen, um eine allfällige Muskelinvasion nachweisen zu können.

Therapie:
Die pTa Tumoren werden zystoskopisch reseziert. Hochrisikotumoren (grosse Tumoren, zytologisch wenig differenziert, rezidivierend oder multifokal) können zusätzlich mit intravesikaler Zytostatika- oder BCG Instillation behandelt werden.

Prognose:
ca. 60% der so behandelten pTa Tumoren rezidivieren. Eine Progression zu einem invasiven Karzinom ist aber sehr selten.
Normalbefund
Morphologie
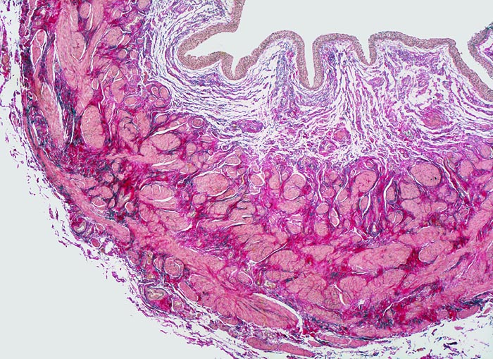
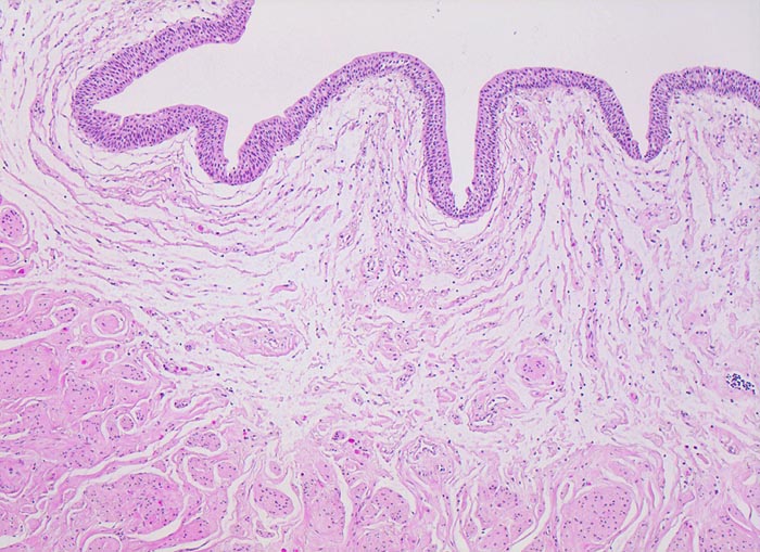
Morphologische Merkmale:
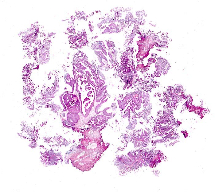
  • Transurethrale Resektate von Harnblasenschleimhaut mit papillärem Tumor.
  • Entnahmebedingte Kauterartefakte (dünn ausgezogene Zellen und Chromatinschlieren, ausgefranste Abtragungsränder).
  • Das neoplastische Urothel bildet fingerförmige, teils miteinander verschmelzende Papillen mit schmalen fibrovaskulären Stromastielen.
  • Das neoplastische Urothel ist verbreitert (meist mehr als 7 Zellagen).
  • Scharfe Grenze zwischen Epithel und subepithelialem Stroma (keine Invasion).
  • Mässiggradige Dysplasie des neoplastischen Urothels (G2, low grade): Tumorzellen mit vergrösserten, leicht pleomorphen Zellkernen. Zahlreiche Apoptosen. Herdförmiger Polaritätsverlust (fehlende Ausrichtung der Zellen in der Längsachse).
  • Auf diesem Schnittpräparat sind kein tumorfernes Urothel und keine Anteile der Harnblasenwandmuskulatur enthalten.
Das sollte der Kliniker dem Pathologen mitteilen:
  • Zystoskopischer Befund.
  • Rezidiv oder Erstmanifestation.
update 11. Oktober 2017
Makroskopie
Befund
Pathologischer Befund
Normalbefund
Datum
Ersteintrag: 17.03.2019
Update: 17.03.2019